Acute and Chronic Wound Fluid Inversely Influence Wound Healing in an in-Vitro 3D Wound Model
Abstract
If a wound progressively heals or the healing process is impaired is basically influenced by the surrounding milieu. This is reflected by the wound fluid. Its specific composition triggers the migration, proliferation and differentiation of dermal and epidermal cells which so far was not sufficiently examined in 2D cell culture models. The influence of the different wound entities was analyzed on a newly implemented three dimensional in-vitro model, which improved the transferability to the in-vivo situation. The influence of pooled wound fluids from patients suffering from acute or chronic wounds were investigated within a time period of 10 days after wound application. Histological and immunohistochemical analyses were performed addressing the impact of AWF and CWF on regeneration, such as cell proliferation, fibroblast activity and cell migration. AWF slightly stimulated fibroblast migration while CWF inhibited their activation and migration. The CXCR4- immunopositive population was continuously decreased compared to the control and AWF treatment. The expression of FAP was enhanced under AWF and medium. In keratinocytes CWF massively stimulated cell proliferation initiating on day six after injury. The presence of 10% CWF inhibited fibroblast activation and migration and induced the degradation of the collagen matrix. Keratinocytes were stimulated to proliferate, resulting in healing inhibiting hyperplasia. Transferred to human wounds, no effective wound closure would be achieved because of the de-regulation of pro-proliferative and migration-stimulating factors and a degraded extracellular matrix.
This newly implemented 3D study model represents a novel appropriate in-vitro system for studying healing mechanisms and potential therapeutic applications.
Author Contributions
Academic Editor: Lin Ye, Lecturer, UHW Main Building
Checked for plagiarism: Yes
Review by: Single-blind
Copyright © 2017 Besser Manuela, et al.
This is an open-access article distributed under the terms of the Creative Commons Attribution License, which permits unrestricted use, distribution, and reproduction in any medium, provided the original author and source are credited.
Competing interests
The authors have declared that no competing interests exist.
Citation:
Introduction
Wound healing is a very complex but well-orchestrated process which unfortunately offers a variety of possible opportunities to be disturbed 1. Acute wounds heal in a highly organized overlapping sequence of four phases: hemostasis, inflammation, proliferation and remodeling. In contrast, chronic wounds stagnate mostly in the inflammatory phase which is characterized by a clear surplus of proteases and a selective enhancement of granulocytes. The development of the extracellular matrix (ECM) is disturbed. A large variety of proteases, growth factors and cytokines in wound fluids of acute (AWF) and chronic wounds (CWF) was already identified 2; but none of them was proven for clinical use yet. Compared to AWF, CWF contains 20 to 100-fold more pro-inflammatory cytokines, such as tumor necrose factor-α (TNF-α) and interleukin-1 beta (IL-1β), and matrix metalloproteinases (MMP-2, MMP-9). But no conclusion could be drawn from detection to bioactivity. Analyses of wound healing processes were often performed on 2D cell culture models or co-cultures 3. Both did not reflect cellular interaction in a 3 dimensional matrix scaffold. In this study, a 3D wound model comprised of a collagen matrix with integrated fibroblasts enabled more resistance to aggressive cytokines and proteases and mimicked the physiological structure 4, 5. The response of fibroblasts and keratinocytes in a complex wound milieu mimicked by the application of AWF und CWF collected from wound patients was analyzed. The following question was addressed: What is the difference between acute and the chronic wound milieu with regard to the influence on cell proliferation, migration and activation.
Material and Methods
Cell Culture
Human foreskin fibroblasts (CRL2522; ATCC) and human adult low calcium high temperature keratinocytes (HaCat; CLS) were cultured in growth medium containing DMEM (with 3.7 g/l NaHCO3, with 4.5 g/l glucose and stable L-glutamine; Merck), 10% fetal calf serum (FCS; Pan Biotech), basic fibroblast growth factor (bFGF; 1 ng/ml) and epidermal growth factor (EGF; 1 ng/ml) (Pan Biotech). The cells were cultured under humidified conditions in an atmosphere containing 10% CO2.
Three-Dimensional (3D) Wound Model System
Preparation of the Collagen Gel Matrix
The collagen gel disc consisted of 10x DMEM (Biochrom), 1 M NaOH (Merck), dH2O (ChemSolute), 7.5% NaHCO3 (Carl Roth), fibroblast growth medium and rat tail collagen type 1 (Corning; final concentration 2.25 mg/ml). All ingredients were stored on ice before the preparation was started and mixed in the exact order listed above. The pH of the solution was adapted to 7.4 with 1 M NaOH. Fibroblasts were harvested and counted automatically with the NucleoCounter (Chemometec). After centrifugation at 1200 rpm for 5 min, the cells were resuspended in culture medium and a final concentration of 5 x 105cells per layer were finally added to the collagen suspension. After gentle trituration, 2.5 ml solution per disc was transferred to a 6 well culture plate. The collagen polymerized for 30 min at 37 °C in a cell culture incubator. The margins of the gels were removed from the bottom of the well to enable the contraction of the matrix within 8 days. The medium was changed every day.
Construction of the 3D Wound Model
After 8 days, the contracted collagen matrix was transferred to a 12 well culture plate and keratinocytes were added on top of the gel at a final concentration of 1 x 106 cells per model system. The keratinocytes grew to confluency in normal growth medium for another 4 days. Subsequently, the keratinocyte bearing collagen matrix became wounded using a 2-mm circular biopsy punch. The counterpart disc without biopsy was moistened with 200 µl adhesive solution and the wounded collagen gel was superposed. This connective “glue” consisted of equal collagen matrix solution. The constructs were incubated for 30 min at 37°C in a cell culture incubator without medium to facilitate the polymerization of the adhesive solution.
Finally, the 3D models were challenged with 10% AWF or CWF in the culture growth medium as well as in the collagen matrix filling the wound
Under control conditions any supplements were applied. Medium was changed every second day and the cultures were incubated for 10 days under humidified conditions.
Analyses were performed on wound models after 0, 2, 4, 6 and 10 days in vitro.
Processing of Acute and Chronic Wound Fluid (AWF/CWF)
Ethical approval for the application of adipose tissue in this study was applied by the local ethics commission (No.39/2007). Informed consent was obtained from all patients prior to wound fluid collection.
Acute wound fluid (AWF) was pooled from five patients, who underwent abdominoplasty. The wound fluid, which was accumulated within the first 8 h post operation, was discarded to exclude blood contamination. Wound fluid drained within the following 8 hours was collected and subsequently centrifuged at 4000 rpm for 5 min. All fluids were sterile filtered and stored at -80°C.
Chronic wound fluid was harvested from patients suffering from a third degree chronic sacral decubitus ulcer. The criteria implied the persistence of the wound for at least 6 weeks and none of the patients received vacuum therapy or surgery during this time period. CWF was collected by application of occlusive dressings for 24 h, followed by immediate centrifugation at 4000 rpm for 5 min. The supernatant was sterile filtered and stored at -80°C. Wound fluids were pooled from 5 patients.
Histology and Immunohistochemistry
The 3D wound models were fixed in 4% paraformaldehyde and embedded in paraffin using standard technique. Sections with 10 µm thickness were prepared and stored at RT. After deparaffinization and rehydration by ethanol/xylene washing steps, standard hematoxylin and eosin staining was performed for the histological investigation of wound healing. Cell migration, proliferation and activity were investigated by immunohistochemical stainings for Ki67, C-X-C motif chemokine receptor 4 (CXCR4) and fibroblast-activating protein-alpha (FAP) (Dienus 2010). For the detection of Ki67, the slices were heated in 10 mM citrate buffer pH 6.0. The staining to CXCR4 and FAP was performed after boiling in Tris/EDTA buffer pH 9.0. The slices were cooled down to room temperature (RT) and transferred to 1x phosphate buffered saline (PBS). Permeabilization and blocking of the sections were performed by incubation with permeabilization buffer containing 1x PBS, 1% bovine serum albumin (BSA; Carl Roth), 0.1% Triton X100 (Merck) and 0.1% Tween 20 (Carl Roth) for 1-2 h at RT. All primary antibodies were diluted in blocking solution comprised of 1x PBS, 1% BSA, 0.1% Triton X100, 0.1% Tween 20 and 5% goat serum (Pan Biotech) and incubated in a humidified chamber at 4°C over night. After washing with PBS, the secondary antibodies were applied in blocking solution for 1-2 h at RT. Resting antibody solution was removed by washing with PBS. The sections were embedded in Roti®-Mount FluorCare DAPI (Carl Roth).
The following antibodies were used: Mouse monoclonal Anti-CXCR4 antibody (3 µg/ml; Abcam), mouse monoclonal anti human Ki-67 Antigen Clone MIB-1 (1:50; Daco), rabbit polyclonal anti-fibroblast activation protein, alpha (1:20; Abcam), Alexa Fluor®488 goat anti-mouse IgG (H+L) (1:500; Life Technologies/Invitrogen) and Alexa Fluor®568 goat anti-rabbit IgG (H+L) (1:500; Life Technologies/Invitrogen).
Quantitative Evaluation
The sections from the 3D-models were examined and illustrated by using fluorescence microscopy (Leica DMI4000B). Three regions of interest (ROI) each of 500x300 µm2 size were chosen for evaluation the fibroblasts. These regions covered the center of the wounded area and two regions of each side of wound margin. Immunopositive cells for FAP, Ki-67 and CXCR4 were detected und percentage were calculated. To determine the number of keratinocytes three additional ROI were chosen: At the wound margin a length of 500 µm2was evaluated independent from the height because keratinocytes proliferated in a multilayered structure. At the wounded area all lateral ingrowing and proliferating keratinocytes were counted; a convergence of wound margins due to cell migration and contraction of the model by myofibroblasts was not taken into account. Ki-67-, FAP and CXCR4- expressing cells were counted using the cell counter plugin of ImageJ© software. The quantification was depicted as percentage of immunopositive cells.
Statistics
Statistical analysis was performed using a one-way ANOVA and Tukey post-hoc test for evaluating the effects of wound fluids of acute and chronic wounds over a time course of 10 days compared to the control (DMEM). Experimental data were analyzed by GraphPadPrism 6 statistical software Version 6.00 (GraphPad Software, Inc., La Jolla, USA). Data are presented as means ± standard deviation (SD). A value of p < 0.05 was considered significant. (*p ≤ 0.05; **p ≤ 0.01; ***p ≤ 0.001)
Results
Histomorphological Analysis of Wound Healing in the In-Vitro 3D Wound Model
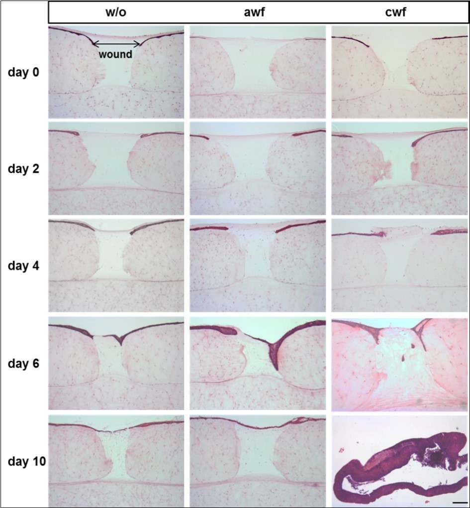
Wound healing was depicted via hematoxylin/eosin (H/E) staining of frontal sections of the wound models, which were cultured over a period of 10 days with or without supplementation of wound fluid (Figure 1). Morphologically, all 3D models showed an approximation of the wound edges after 4 days. The keratinocytes continued migrating towards the wounded region and were able to bridge the wound after 10 days under control conditions as well as under AWF treatment. However, CWF application inhibited keratinocyte migration. Instead these cells displayed elevated proliferation behavior leading to a massive hyperplasia. In contrast, the H/E staining revealed a massive fibroblast cell loss under CWF challenge. These CWF models completely lost their shape presumably due to collagen degradation. Following morphological inspection, the number of fibroblasts and keratinocytes in the wound margin as well as wound base was quantified (Figure 2). In the wound edges, a slight increase of the number of fibroblasts was assigned under control conditions and in the presence of AWF up to day 10 (Figure 2a). Conversely, the number of fibroblasts in the CWF treated models was initially constant but showed a complete cell loss on day 10. The same was observed in the wound base (Figure 2b). AWF slightly stimulated the migration of fibroblasts compared to the control group, especially, in the initial phase of regeneration up to day 6. CWF application significantly inhibited fibroblast migration. During the whole time period none of them reached the wound base. The quantification of keratinocytes supported the morphological impression with respect to an elevated proliferation behavior especially under CWF challenge with progressing healing time (Figure 2c). Due to the hyperplasia, the number was not evaluable at all. The treatment with acute wound fluid also induced a continuous increase in the number of keratinocytes with a doubling between days 6 to 10 compared to the control situation. On the contrary, the keratinocyte population on models cultured without wound fluid tended to decrease after 6 days in vitro.
Figure 1.Histological characterization of wound healing in the presence of acute or chronic wound fluid. H/E-staining of frontal sections of the 3D wound models. All models showed an approximation of the wound edges after 4 days. With regard to migration, keratinocytes showed no difference after AWF addition compared to the control. CWF supplementation stimulated the proliferation resulting in hyperplasia after 10 days. In contrast, a fibroblast cell loss was detected under CWF challenge. The models completely lost their shape presumably due to collagen degradation. Scale bar: 200 µm
Figure 2.Quantification of fibroblasts and keratinocytes during wound healing in dependency of AWF and CWF application. (a) The wound edges a slight increase of the number of fibroblasts in the control and AWF treated cultures up to day 10 was determined. CWF supplementation induced a complete cell loss after 10 days in vitro. (b) With proceeding time fibroblasts arrived in the wound base. AWF slightly stimulated the migration of fibroblasts compared to the control, especially in the initial phase of regeneration up to day 6. The presence of chronic wound fluid impaired migration. Under this condition no fibroblasts were detected during the whole period. (c) The quantification of the keratinocytes revealed a significant increase of the keratinocyte population after 10 days in the CWF treated cultures. The number was not evaluable. AWF induced a continuous elevation of keratinocytes compared to the control but less effective as CWF.
Immunohistochemistry
Following H/E-analysis, immunohistochemical stainings to the proliferation marker Ki67 and to CXCR4 and FAP, as representative proteins expressed by migrating cells, were performed and subsequently quantified (Figure 3). No quantitative evaluation of Ki67-positive cells was performed because the expression of Ki67 in fibroblasts was very low in all 3D wound models independent of the culture condition. Nevertheless, both cell types were vital and actively migrating in the 3D wound model systems (Figure 3a). The number of CXCR4 and FAP-expressing fibroblasts increased in the control medium within the first 2 days after wound apply, reflecting their activation and the induction of migration (Figure 3b,c). Afterwards, the number of immunopositive cells remained quite constant. Acute as well as chronic wound fluid in the medium resulted on the one hand to a progressive increase of migration with ongoing healing but on the other hand the expression of CXCR4 was persistently decreased compared to the control. The most prominent effect was detected in cultures treated with CWF. The latter was detected for FAP (Figure 3c). Regarding the activation of fibroblasts into a migratory phenotype, faint differences were evaluated between AWF supplementation and control medium.
Figure 3.Immunohistochemical analysis of migratory activity. (a) Frontal section stained to FAP after 10 days after wound apply (AWF treatment). Both cell types were vital and actively migrating. (b) The most prominent effect was induced by the incubation with CWF. The CXCR4- immunopositive population was continuously decreased compared to the control and AWF treatment. (c) The number of FAP-expressing cells was also reduced in cultures with CWF, initiating after 2 days after injury. Faint differences were detected between the control medium and AWF supplementation. Scale bar: 250 µm
Discussion
The wound milieu plays a crucial role in the wound healing process. AWF is expected to contain factors promoting wound healing while CWF is comprised of cytokines, growth factors and proteases inducing inhibitory effects on regeneration. Based on this central point a lot of studies focused on the examination of these components to elucidate their influence on the four well-orchestrated processes of wound healing (reviewed in 2). It has become increasingly evident that not the type of cytokines, growth factors and proteases but rather the proportion to each other and the state of their regulatory mechanisms is decisive for the course of regeneration. In this study pooled CWF and AWF were used to mimic the different situations for analyzing the reactions of dermal cells in a robust 3 dimensional in-vitro model.
In the last decade some 3D human skin models were developed 6, 7, 8 to reduce animal trials and to enhance the possibility to do broad-based in-vitro studies under various conditions examining diverse substances, fluids, etc. Further studies applied small epidermal-only or even full-thickness wounds biopsy forceps 9, ultrasound or cautery burns in-vitro that should approximate physiological in-vivo conditions. However, these applications mostly left unstandardized skin injuries. In this study a punch model was implemented to analyze the influence of wound fluids on cell migration, proliferation and fibroblast differentiation for 10 days duration. Cellular behavior in response to different environmental cues is always the crucial question. Migration of fibroblasts and keratinocytes, if questioned, was detected and described by many authors. In terms of proliferation, lots of studies referred to keratinocytes but the behavior of fibroblasts was neglected. Proliferation of the latter often was not mentioned at all 8 or the statements differed, respectively 10, 11. It seems this is a crucial point of 3D full thickness skin models, an obstacle that had not already overcome. In this study only a slight expression of Ki-67 at day 2 and 4 followed by no further enhancement. These results were independent of the treatment wound fluids so that the conclusion could be drawn that the environment of the 3D construction with or without AWF/CWF lacks pro-proliferative signals for fibroblasts. This will be discussed later on. The histological detected rising number of fibroblasts in the wound area was assigned to immigration from the wound margin. Migration more than proliferation is representative for the early phase of wound healing which can be mimicked in this 10 days model only. With a view to chronic wounds this granulation phase may be the crucial phase deciding if a wound heals or become chronic. It is the most sensitive one because the local intercellular communication and the secreted amount of cytokines and proteases are the highest 12, 13. During following proliferation phase extracellular matrix will be secreted and organized to a scaffold supporting cell migration 14, 15. With progressing wound healing fibroblasts differentiate to myofibroblasts, which are characterized by thick actin bundles and actively extended pseudopodia, attaching to fibronectin and collagen in the extracellular matrix to finally bring the wound edges to close proximity 15. This was reproduced in this study. The wound edges approximated due to the features of myofibroblasts under control conditions and after AWF treatment (Figure 1).
In contrast to fibroblasts, keratinocyte proliferation was detected under all conditions (not shown). The keratinocyte population massively elevated 4 days after application of CWF. The constitution of the3D wound model degraded after 10 days in the presence of CWF. This study result accompanies to Usui et al., who described a “chronic wound associated phenotype” in chronic ulcers 16. These characteristic keratinocytes displayed an overexpression of the proliferation marker Ki67 as well as up-regulated cell cycle-associated genes, i.e. cyclin B1 and CDC2 17. The resulting hyperplasia was clearly demonstrated and confirmed in this study in vitro. Amongst others, the hyperproliferative state was attributed to a regulation by an autologous mechanism. It was described, that keratinocyte express IL-1α to induce fibroblasts to express and secrete mitogens for keratinocytes 11. Furthermore, this correlates with clinical findings in chronic wounds with reduced healing initiation by cell types from the wound ground (fibroblasts, stem cells, endothelial cells). In contrast, keratinocytes at the edges proliferate and overgrow the wound margin. They grow into the wound generating an undulating raised. This formation often originated pocket-like wounds that are difficult to clean and have a tendency to develop chronic infections. Surprisingly, AWF has a slight positive but not significant influence on cell proliferation compared to the control. This may be due to the lacking intercellular or paracrine stimulation by fibroblasts. It is well known that the cytokines like TGF-β 1 or IL-1 derived from fibroblasts have a deep impact on keratinocyte stimulation 18, 19. However, acute wound fluid is comprised of pro-inflammatory cytokines and growth factors regulating the behavior of inflammatory cells, which in turn will induce fibroblasts to express factors stimulating keratinocyte proliferation in later phases of progressing wound healing 11. In this model these cues are missing under control conditions and in AWF cultured models, because these treatments mimicked early processes of regeneration. Fibroblasts were activated within the analyzed period, which was demonstrated by increasing FAP- and CXCR4- expression with ongoing wound healing time. The migration was slightly but not significantly increased in contrast to the application of chronic wound fluid. The presence of CWF inhibited the activation as well as the migratory state of fibroblasts (Figure 2 a/b; Figure 3 b/c). This observation supported previous results describing reduced motility in patients suffering on chronic wounds due to chronic venous insufficiency 17, 20. The impaired migration and mitogenic potential was assigned to the down-regulation of the surface receptors for the corresponding cytokines and growth factors by components of chronic wound fluid 21. CWF additionally bares an increased concentration of serine-proteases, MMPs and reduced level of MMP inhibitor TIMP-2, leading to the degradation of the extracellular matrix and inactivation of growth factors 22, 23, 24. This was impressively supported by the histological characterization after 10 days under CWF challenge in this study (Figure 1).
Having a closer look on the influence of AWF or CWF on the different dermal cell types, the conclusion could be drawn that fibroblasts react more sensitive or faster to the presence of acute or chronic wound fluid. This observation underlines the findings of Lim et al.25. This feature represents the physiological situation, where fibroblasts are one of the first cell types reacting on the environmental cues from inflammatory cells. Like described above, they differ in the composition and density of surface receptors. Both, the positive influence of AWF as well as the toxic features of CWF were reflected predominantly by fibroblasts. The histologic slides of 3D wound models after a 10 days treatment with CWF showed this most impressively (Figure 1): Keratinocytes survived in a multilayered structure on the destroyed collagen residues while fibroblasts were lacking or apoptotic. Negative effects of CWF were described in 2D cultures 3, 26.
In summary,this 3D wound mimicked the direct interaction of fibroblasts and keratinocytes in wounds spanning a time period of 10 days in vitro. Fibroblasts responded more sensitive to the environmental cues in the different wound milieus compared to keratinocytes. Fibroblasts displayed a slight increase in their migratory activity. Chronic wound fluid significantly impaired their migration. They did not migrate into the wound area so that a stable wound matrix is lacking at the site of “injury”. Proceeding time of exposition to CWF even resulted in apoptotic effects on fibroblasts. In contrast, CWF stimulated the proliferation keratinocytes which overgrow the whole 3D model. If these data would be transferred to human wounds no effective wound closure could be achieved because the cell-rich wound bed – the stable base of wound healing - would be lacking. This newly implemented 3D study model clearly reproduced responses of fibroblasts and keratinocytes to the different wound milieus in the clinical situation described in the literature. Thus, it represents a novel appropriate in-vitro system for studying healing mechanisms and potential therapeutic applications.
Conclusion
A newly implemented in-vitro 3-dimensional wound model was stablished to analyze the effect of acute and chronic wound fluid on regenerative processes, e.g. migration and proliferation of epidermal and dermal cells during wound healing. AWF and CWF differentially affected the migration and proliferation of fibroblasts and keratinocytes. AWF slightly stimulated fibroblast migration, while CWF inhibited their activation and migration. In keratinocytes CWF massively stimulated the proliferation after 6 days, which finally resulted in hyperplasia. Furthermore, the presence of 10% CWF induced the degradation of the collagen matrix.
This study gave an insight into the complex influence of the wound milieu on basic processes of wound healing. Further progressing studies addressing specific inhibitory mechanisms, which result in wound healing stagnation, will be necessary to, at least, transfer the knowledge via clinical cooperation from the bench to bedside and develop novel therapeutic strategies.
Acknowledgements
Source of Funding:
No
References
- 1.Gurtner G C, Werner S, Barrandon Y, Longaker M T. (2008) Wound repair and regeneration. , Nature 453(7193), 314-21.
- 2.Loffler M W, Schuster H, Buhler S, Beckert S. (2013) Wound fluid in diabetic foot ulceration: more than just an undefined soup? The international journal of lower extremity wounds. 12(2), 113-29.
- 3.Koenen P, Spanholtz T A, Maegele M, Sturmer E, Brockamp T et al. (2015) Acute and chronic wound fluids inversely influence adipose-derived stem cell function: molecular insights into impaired wound healing. , International wound journal 12(1), 10-6.
- 4.Stark H J, Szabowski A, Fusenig N E, Maas-Szabowski N. (2004) Organotypic cocultures as skin equivalents: A complex and sophisticated in vitro system. , Biological procedures online 6, 55-60.
- 5.Timpson P, McGhee E J, Erami Z, Nobis M, Quinn J A et al. (2011) Organotypic collagen I assay: a malleable platform to assess cell behaviour in a 3-dimensional context. Journal of visualized experiments:. , JoVE 56, 3089.
- 6.Black A T, Hayden P J, Casillas R P, Heck D E, Gerecke D R et al. (2010) Expression of proliferative and inflammatory markers in a full-thickness human skin equivalent following exposure to the model sulfur mustard vesicant, 2-chloroethyl ethyl sulfide. Toxicology and applied pharmacology 249(2):. 178-87.
- 7.Maas-Szabowski N, Stark H J, Fusenig N E. (2000) Keratinocyte growth regulation in defined organotypic cultures through IL-1-induced keratinocyte growth factor expression in resting fibroblasts. , The Journal of investigative dermatology 114(6), 1075-84.
- 8.Maas-Szabowski N, Szabowski A, Stark H J, Andrecht S, Kolbus A et al. (2001) Organotypic cocultures with genetically modified mouse fibroblasts as a tool to dissect molecular mechanisms regulating keratinocyte growth and differentiation. , The Journal of investigative dermatology 116(5), 816-20.
- 9.Balaji S, Moles C M, Bhattacharya S S, LeSaint M, Dhamija Y et al. (2014) Comparison of interleukin 10 homologs on dermal wound healing using a novel human skin ex vivo organ culture model. , The Journal of surgical research 190(1), 358-66.
- 10.Trottier V, Marceau-Fortier G, Germain L, Vincent C, Fradette J. (2008) IFATS collection: Using human adipose-derived stem/stromal cells for the production of new skin substitutes. , Stem cells 26(10), 2713-23.
- 11.Safferling K, Sutterlin T, Westphal K, Ernst C, Breuhahn K et al. (2013) Wound healing revised: a novel reepithelialization mechanism revealed by in vitro and in silico models. , The Journal of cell biology 203(4), 691-709.
- 12.Broughton G, Janis JE 2nd, Attinger C E. (2006) The basic science of wound healing. Plastic and reconstructive surgery.117(7 Suppl): 12S - 34S .
- 13.Velnar T, Bailey T, Smrkolj V. (2009) The wound healing process: an overview of the cellular and molecular mechanisms. , The Journal of international medical research 37(5), 1528-42.
- 14.Sieggreen M Y. (1987) Healing of physical wounds. The Nursing clinics of. , North America 22(2), 439-47.
- 16.Usui M L, Mansbridge J N, Carter W G, Fujita M, Olerud J E. (2008) Keratinocyte migration, proliferation, and differentiation in chronic ulcers from patients with diabetes and normal wounds. The journal of histochemistry and cytochemistry :. , official journal of the Histochemistry Society 56(7), 687-96.
- 17.Stojadinovic O, Pastar I, Vukelic S, Mahoney M G, Brennan D et al. (2008) Deregulation of keratinocyte differentiation and activation: a hallmark of venous ulcers. Journal of cellular and molecular medicine 12(6B):. 2675-90.
- 18.Coulomb B, Lebreton C, Dubertret L. (1989) Influence of human dermal fibroblasts on epidermalization. , The Journal of investigative dermatology 92(1), 122-5.
- 19.Mackenzie I C, Fusenig N E. (1983) Regeneration of organized epithelial structure. The Journal of investigative dermatology 81(1 Suppl): 189s-94s .
- 20.Raffetto J D, Mendez M V, Marien B J, Byers H R, Phillips T J et al. (2001) Changes in cellular motility and cytoskeletal actin in fibroblasts from patients with chronic venous insufficiency and in neonatal fibroblasts in the presence of chronic wound fluid. , Journal of vascular surgery 33(6), 1233-41.
- 21.Demidova-Rice T N, Hamblin M R, Herman I M. (2012) Acute and impaired wound healing: pathophysiology and current methods for drug delivery, part 1: normal and chronic wounds: biology, causes, and approaches to care. Advances in skin & wound care 25(7), 304-14.
- 22.Eming S A, Krieg T, Davidson J M. (2007) Inflammation in wound repair: molecular and cellular mechanisms. , The Journal of investigative dermatology 127(3), 514-25.
- 23.Subramaniam K, Pech C M, Stacey M C, Wallace H J. (2008) Induction of MMP-1, MMP-3 and TIMP-1 in normal dermal fibroblasts by chronic venous leg ulcer wound fluid*. , International wound journal 5(1), 79-86.
- 24.Hyldig K, Riis S, Pennisi C P, Zachar V, Fink T. (2017) Implications of Extracellular Matrix Production by Adipose Tissue-Derived Stem Cells for Development of Wound Healing Therapies. International journal of molecular sciences 18(6).
Cited by (22)
This article has been cited by 22 scholarly works according to:
Citing Articles:
Rima Nuwayhid, Nguyen Ngoc-Huyen, Dmitry Notov, Stefan Langer, O. Kurow - Frontiers in Bioengineering and Biotechnology (2025) Semantic Scholar
Frontiers in Bioengineering and Biotechnology (2025) OpenAlex
Frontiers in Bioengineering and Biotechnology (2025) Crossref
Springer series on biofilms (2022) OpenAlex
H. Vyas, B. Xia, A. Mai-Prochnow - Biofilm (2022) Semantic Scholar
Biofilm (2022) OpenAlex
Journal of Dermatological Science (2022) OpenAlex
Rahaf Issa, K. L. Thompson, B. Price - Journal of dermatological science (Amsterdam) (2022) Semantic Scholar
Shou Jin Phang, Bavani Arumugam, U. Kuppusamy, M. B. Fauzi, Mee Lee Looi - Journal of Tissue Engineering and Regenerative Medicine (2021) Semantic Scholar
Journal of Tissue Engineering and Regenerative Medicine (2021) OpenAlex
Journal of Tissue Engineering and Regenerative Medicine (2021) Crossref
Snehal Kadam, Vandana Madhusoodhanan, Radhika Dhekane, Devyani Bhide, R. Ugale et al. - Biofilm (2021) Semantic Scholar
Biofilm (2021) OpenAlex
Snehal Kadam, Vandana Madhusoodhanan, Devyani Bhide, R. Ugale, Utkarsha Tikhole et al. - bioRxiv (2021) Semantic Scholar
bioRxiv (Cold Spring Harbor Laboratory) (2021) OpenAlex
Adriana C. Panayi, Y. Endo, M. Karvar, Prerana Sensharma, V. Haug et al. - BMJ Open Diabetes Research & Care (2020) Semantic Scholar
BMJ Open Diabetes Research & Care (2020) OpenAlex
Journal of Materials Chemistry B (2020) OpenAlex
Journal of Materials Chemistry B (2020) Crossref
Halston Deal, Ashley C. Brown, M. Daniele - Journal of materials chemistry. B (2020) Semantic Scholar
Snehal Kadam, S. Nadkarni, Janhavi Lele, Savani Sakhalkar, Pratiksha Mokashi et al. - Frontiers in Bioengineering and Biotechnology (2019) Semantic Scholar
Frontiers in Bioengineering and Biotechnology (2019) OpenAlex
Frontiers in Bioengineering and Biotechnology (2019) Crossref
E. Stuermer, M. Besser, N. Terberger, V. Koester, Hagen S. Bachmann et al. - Naunyn-Schmiedeberg's Archives of Pharmacology (2018) Semantic Scholar
Naunyn-Schmiedeberg s Archives of Pharmacology (2018) OpenAlex
