Giant Isolated Hydatid Cyst of Spleen
Abstract
Liver is most commonly involved organ in hydatid cyst. Primary splenic hydatid cysts are rare; we report a case of an isolated giant hydatid cyst of spleen in a 17-year-old man. The diagnosis was confirmed by imaging findings and serology. Partial cystectomy was performed with success. In cystic lesions of spleen, hydatid cyst should be kept in patrician’s mind in the differential diagnosis. Although splenectomy is the gold standard for treating hydatid disease of the spleen, in young patient spleen-preserving surgery seems give good results.
Author Contributions
Academic Editor: Songqing He, Department of Hepatobiliary Surgery, The Affiliated Hospital of Guilin Medical University,China
Checked for plagiarism: Yes
Review by: Single-blind
Copyright © 2015 Mehdi Soufi, et al
This is an open-access article distributed under the terms of the Creative Commons Attribution License, which permits unrestricted use, distribution, and reproduction in any medium, provided the original author and source are credited.
Competing interests
The authors have declared that no competing interests exist.
Citation:
Introduction:
Hydatid disease is a helminthic anthropozoonosis with worldwide distribution that is caused by the larval stage of Echinococcus granulosus 1. Liver and Lungs are the most common sites of involvement in adults. Echinococcal cysts are mostly found in the liver and lungs but the disease can occur almost anywhere in the body 1. Usually, splenic involvement in hydatid cysts follows systemic dissemination or intra peritoneal spread following ruptured hepatic hydatid cyst. Primary hydatid disease of the spleen is very rare even in endemic areas 2. We report a case of an isolated giant hydatid cyst of spleen of a 17-year-old man. Treated successfully by a spleen-preserving surgery.
Case Report:
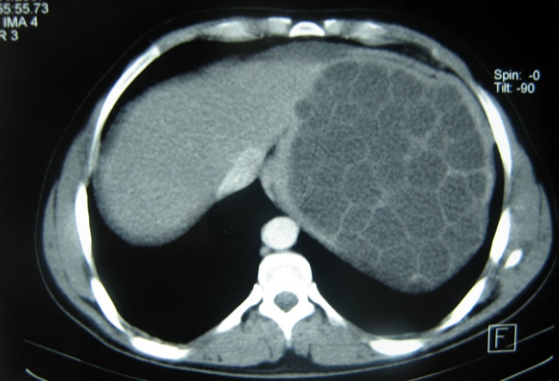
A 17-year-old young man admitted to our department with the complaint of abdominal pain localized in the left upper quadrant for the last 3 months. His physical examination revealed a splenomegaly. Immunoblot assay for Echinococcus was positive. His laboratory tests showed normal results of the serum and urine examinations, No eosinophilia was found. Chest X-ray revealed no pathological signs. An abdominal ultrasonography showed a 20 cm multivesicular cystic mass of spleen (figure 1). Contrast enhanced CT scans detected a huge single 20×16×18cm cystic mass located in the spleen. It had well-defined borders and contained multiple, round, daughter cysts in the periphery of the lesion with calcification (Figure 2, Figure 3, Figure 4). The patient underwent a laparotomy. A large splenic cystic mass was identified, attached to diaphragm, and tail of the pancreas (figure 5). The abdomen was packed with 10% hypertonic saline soaked pads in order to protect peritoneal soilage. A partial cystectomy without splenectomy was performed. Histologic examination of the specimen resection showed an echinococcal organism residing within the hydatid cyst . The patient was discharged after 4 postoperative days. 600 mg per a day of Albendazole therapy was instaured postoperatively and continued for 6 months. Two years after surgery the patient is well with disease free.
Figure 1.Ultrasonography showing a 20 cm multivesicular cystic mass of spleen
Figure 2.CT showing a huge single 20×16×18cm cystic mass located in the spleen
Figure 3.CT showing a huge single 20×16×18cm cystic mass located in the spleen
Figure 4.CT showing a huge single 20×16×18cm cystic mass located in the spleen
Figure 5.Intraoperative view showing multivesicular spleen hydatid cyst.
Discussion:
Hydatid disease is a helminthic anthropozoonosis caused by the larval stage of Echinococcus Granulosus due to the close associations among sheep, dogs, and humans 1. Humans are the intermediate hosts and contract the infection accidently. Man acts as the end stage of the larval life cycle. It is a systemic zoonosis particularly widespread among the Middle East countries and the Mediterranean region 1. The liver is the most frequent location of parasitic cysts but Hydatid disease can occur almost anywhere in the body 2, 3. Primary hydatid cyst of spleen is extremely rare, with an incidence of 2 to 3%, even in the endemic regions 4. In our case, only isolated splenic disease was found without pulmonary, hepatic, and any other tissue involvement. When the eggs of parasite escape the liver-lung barrier (15%) they can cause a primary infestation wherever in the body through the arterial route 4, 5.
Patients with splenic hydatid cyst are usually asymptomatic or had non-specific symptoms 4. The most common finding is incidentally discovered splenomegaly 5. Our patient had a discomfort, pain in the left upper quadrant of the abdomen. Some patients may present with complications such as infection of the cyst, rupture of the cyst into the peritoneal cavity, hypersplenism, and anaphylactic choc fistulization to adjacent organs (colon, stomach and diaphragm) 6, 7, 8. In some cases pre-operative diagnosis can be difficult especially if radiological findings are non specific and serologic tests are negative 9. In our patient combination of imaging modalities and serologic tests confirms the diagnosis of isolated hydatid cyst of spleen. Abdominal X-rays may be able to show crumpled egg shell-like calcifications in the splenic area.
Ultrasonography is helpful in detecting Calcification of the cyst wall, presence of daughter cysts, cystic membranes, septa or hydatid sand 10. Lesions are usualy heterogeneous with indistinct margins, showing alveolar appearance. Multiple small round cysts with solid components are frequent. 10, 11.
Ct scan is useful for diagnosis and screening, although there are a variety of pathognomonic signs of hydatid disease on imaging, they are not always present. Other cystic lesions of spleen, such as abscess, hematoma, or pseudocyst may be a diagnostic dilemma 5, 12. CT may show the cystic lesion with or without daughter cysts within the spleen with an attenuation value near that of water without any contrast enhancement 10, 11. Hematological examination may reveal eosinophilia. Immunoelectrophoresis, enzyme-linked immunosorbent assay (ELISA), latex agglutination, and indirect haemagglutination test are helpful for the diagnosis 13. A negative serology does not rule out cystic echinococcosis . In these cases the diagnosis can be difficult . Although the sensitivity of serological testing is not clearly dependent on the extent of disease, it does appear to be dependent on cyst stage. 14. echinococcal IgG ELISA test has perhaps the highest positive predictive value among the available serological tests, but unfortunately may only have a negative predictive value of <90% 14. A rapid immunochromatography test kit using the recombinant Em18 antigen was recently developed. It seems be simple, reliable, and easy-to-use 15.
The treatment is principally surgical. 5, 6, 16. Total splenectomy, partial splenectomy, cyst enucleation and unroofing with omentoplasty are the reported surgical techniques to treat splenic hydatid disease 17. Laparoscopic approach has also been described for uncomplicated hydatid cyst of the spleen 18. In our case the cyst was attached to diaphragm, tail of the pancreas and retroperitoneum, we performed a partial cystectomy without any dissection of other organs. In the literature, there is no significant difference in recurrence rates between splenectomy and spleen-sparing surgery 16.
The presence of multiple splenic cysts or communication between the spleen and nearby organs total splenectomy must be preferred 17. In young patient splenectomy may have a several complication (10%) such as hemorrhage, pancreatic or gastric injuries, thromboembolic phenomena and post splenectomy infection, in these case some surgeons prefer conservative surgery 16.
We think that in huge cyst of spleen especially in young patient total splenectomy including organ involvement may be dangerous for a benign lesion. Albendazole is an effective adjuvant therapy in the treatment of hydatid cyst. it decreases the viability of cysts at the time of surgery and significantly reduces the chances of cyst recurrence 19. The chemotherapy is indicated in patients who are at high risk for surgery, after spillage during surgery and as a concomitant therapy with percutaneous drainage 19.
Conclusion
Primary hydatid cyst of spleen is rare. It is still difficult to differentiate between parasitic and non-parasitic splenic cysts. Combination of CT scan remains the most sensitive investigations for diagnosis. This case suggests that Hydatid disease should be considered as a differential diagnosis in every patient with a cystic mass of the Spleen. If mortality and morbidity rates are very low, total splenectomy may be the treatment of choice in adults, but in children spleen-preserving surgery should be considered to prevent complications.
Competing Interest:
No benefits in any form have been received or will be received from a commercial party related directly or indirectly to the subject of this article.
References
- 1.Rinaldi F, Brunetti E, Neumayr A, Maestri M, Goblirsch S. (2014) Tamarozzi F.Cystic echinococcosis of the liver: A primer for hepatologists. 6(5), 293-305.
- 2.Rasheed K, Zargar S A, Telwani A A.Hydatid cyst of spleen: a diagnostic challenge. , N Am J Med Sci 5(1), 10-20.
- 3.Fernández-Ruiz M, Guerra-Vales J M, Enguita-Valls A B, Vila-Santos J, García-Borda F J et al.Splenic hydatid cyst, a rare location of extrahepatic echinococcosis: Report of six cases. , Eur J Intern Med 2008, 51-53.
- 4.Wani R A, Malik A A, Chowdri N A, Wani K A, Naqash S H.Primary extrahepatic abdominal hydatidosis. , Int J Surg 2005, 125-7.
- 5.Malik A A, ul Bari S, Younis M, Wani K A, Rather A A. (2011) Primary splenic hydatidosis. , Indian 30(4), 175-7.
- 6.Lewall D B, McCorkell S J.Rupture of echinococcal cysts: diagnosis, classification, and clinical implications. , AJR Am J Roentgenol 1986, 391-4.
- 7.Alfageme I, Martin M, Hernandez J, Huertas C.Rupture of a long-standing splenic hydatid cyst into the bronchial tree. Clin Infect Dis. 1994, 992-4.
- 8.Teke Z, A B Yagci, A O, Kabay B.Splenic hydatid cyst perforating into the colon manifesting as massive lower gastrointestinal bleeding: an anusual presentation of disseminated abdominal echinococcosis. , Singapore Medical Journal 2008, 113-116.
- 9.Makkar M, Gupta C, Singh D P, Kaur S, Mahajan N. (2012) Giant isolated splenic hydatidosis. Trop Parasitol. 2(1), 74-6.
- 10.Czermak B V, Akhan O, Hiemetzberger R, Zelger B, Vogel W et al. (2008) Echinococcosis of the liver. Abdom Imaging. 33(2), 133-43.
- 12.Durgun V, Kapan S, Kapan M, Karabicak I, Aydogan F et al.Primary splenic hydatidosis. Dig Surg. 2003, 38-41.
- 13.Soufi M, Lahlou M K, Messrouri R, Benamr S, Essadel A et al.Hydatid cyst of the psoas: a report of two cases]. , J Radiol. 2010 ;91(12 Pt 1, 1292-4.
- 14.Force L, Torres J M, Carrillo A, Buscà J. (1992) Evaluation of eight serological tests in the diagnosis of human echinococcosis and follow-up. Clin Infect Dis. 15, 473-80.
- 15.Knapp J, Sako Y, Grenouillet F, Bresson-Hadni S, Richou C et al. (2014) Ito A & Millon L: Comparison of the serological tests ICT and ELISA for the diagnosis of alveolar echinococcosis in France. Parasite. 21-34.
- 16.Akbulut S, Sogutcu N. (2013) Eris C.Hydatid disease of the spleen: single-center experience and a brief literature review.J Gastrointest Surg. 17(10), 1784-95.
- 17.Atmatzidis K, Papaziogas B, Mirelis C, Pavlidis T.Papaziogas T.Splenectomy versus spleen-preserving surgery for splenic echinococcosis. Dig Surg. 20(6), 527-31.
Cited by (12)
This article has been cited by 12 scholarly works according to:
Citing Articles:
Anas Aljaiuossi, Saleh A. Ba-shammakh, Mohammad Bani Hani, Musab S. Al-A’athal, Yazeed M. Elsobuh et al. - Annals of Medicine and Surgery (2024) Semantic Scholar
Annals of Medicine and Surgery (2024) OpenAlex
Annals of Medicine & Surgery (2024) Crossref
Bassem Al Hariri, Vajeeha Haider, Mamunul Islam, Abdalrahman Mohammed Mostafa, A. Alharafsheh et al. - Medical Reports (2024) Semantic Scholar
Medical Journal of Clinical Trials & Case Studies (2023) OpenAlex
S. Goyal, Snigdha Goyal - IP Indian Journal of Anatomy and Surgery of Head, Neck and Brain (2021) Semantic Scholar
Indian Journal of Anatomy and Surgery of Head Neck and Brain (2021) OpenAlex
BMC Surgery (2021) OpenAlex
BMC Surgery (2021) Crossref
A. Mejri, Khaoula Arfaoui, M. Ayadi, Badreddine Aloui, Jasser Yaakoubi - BMC Surgery (2020) Semantic Scholar
Research Square (Research Square) (2020) OpenAlex
Snigdha Goyal, S. Goyal, Ankit Bhardwaj - The Journal of medical research (2016) Semantic Scholar
The Journal of Medical Research (2016) OpenAlex
