Obstructive Sleep Apneas, Cervical Osteophytosis and Sudden Death: A Paradigmatic Case and a Brief Overview of the Literature
Abstract
Obstructive sleep apnea (OSA) syndrome is a common disease characterized by partial or complete collapse of the upper airway during sleep secondary to functional or anatomical factors. The gold standard method for OSA diagnosis is an overnight polysomnogram demonstrating repetitive obstructive apneas and hypopneas during sleep. OSA syndrome is associated with cardiovascular diseases, stroke and rarely with sudden death. OSA and cervical spine osteophytes share some common risk factors, and their coexistence may cause mechanic respiratory obstruction with a severe sleep apnea. We present a brief overview on this syndrome, its links to the cervical spine pathology and their combined effect on a patient presenting with neurological signs who suddenly died before an effective treatment was possible to perform. This case highlights how a rapid deterioration of the functional balance may be possible even when a clinical condition has been present, known and unchanged for a long period of time and the need to treat adequately a not-so-innocuous pathology without an excessive delay.
Author Contributions
Academic Editor: Ravi Gupta, Himalayan Institute of Medical Sciences
Checked for plagiarism: Yes
Review by: Single-blind
Copyright © 2016 Sinelli Alessandro, et al.
This is an open-access article distributed under the terms of the Creative Commons Attribution License, which permits unrestricted use, distribution, and reproduction in any medium, provided the original author and source are credited.
Competing interests
The authors have declared that no competing interests exist.
Citation:
Introduction
Background
Obstructive sleep apnea syndrome is a common disorder characterized by intermittent closure or collapse of the pharyngeal airway, causing apneic episodes and fragmentation of sleep. Its prevalence is estimated to be around 2-4%1.
Apnea is defined as a cessation of airflow for at least 10 seconds and is frequently associated with oxygen desaturation; a lesser reduction in airflow is called hypopnea. The gold standard method for OSA diagnosis is an overnight polysomnogram demonstrating repetitive obstructive apneas and hypopneas during sleep.
Sleep study measures the apnea/hypopnea index (AHI), which is the number of respiratory events occurring in 1 hour2and the respiratory disturbance index (RDI), that is the sum per hour of episodes of apnea, hypopnea, and respiratory effort-related arousals (RERAs).
The American Academy of Sleep Medicine criteria allow to diagnose OSAS according to the presence of AHI or RDI is ≥5 episodes/hour with evidence of respiratory effort during all respiratory events; diagnosis is not better explained by another sleep, medical, or neurological disorder, or medication or drug use; and at least 1 of the following is present: daytime sleepiness, unrefreshing sleep, fatigue, insomnia, or unintentional sleep episodes during wakefulness; patient wakes with breath holding, gasping, or choking; patient's bed partner reports loud snoring, breathing interruptions, or both, during patient's sleep3.
OSA is mild if AHI is between 5-15 and sleepiness occurs during activities requiring little attention; moderate if AHI is 15 to 30 and sleepiness occurs during activities requiring some attention; and severe if AHI > 30 and sleepiness intrudes on activities requiring active attention, such as eating or driving3.
Most discussions of sleep apnea focus on obstructive sleep apnea and its treatment.
Since the OSA patient has a mechanical problem, it can be corrected by a continuous positive airway pressure device keeping the airway patent.
Several OSA patients also experience central sleep apnea (CSA) that may not be noted until the OSA is treated4. Since the different pathogenesis, OSA and CSA need to be correctly diagnosed to best treat patients with sleep disturbance.
OSA is an easily recognized and treatable condition. If not treated, it can lead to daily drowsiness, strokes5, cognitive decline, depression, headaches6, and peripheral neuropathy. A growing body of evidence confirms strong associations between OSA and cardiovascular diseases, including coronary artery disease, hypertension, left ventricular dysfunction, and arrhythmias7. OSA also is associated with increased mortality8, 9, 10. A specific link to sudden cardiac death (SCD) was suggested by the finding that SCD is more likely to occur during usual sleep hours in individuals with OSA, which is the time when SCD is least likely in individuals without OSA and in the general population11.
In OSA, the presence of a patent foramen ovale (PFO) has been associated with an increased number of apneas and more severe oxygen desaturation12. The PFO closure in OSA patients has been shown to improve sleep-disordered breathing and nocturnal oxygenation, even before the start of a CPAP treatment. This improvement translates in a better endothelial function and vascular stiffening, a decrease of nighttime blood pressure, restoration of the dipping pattern, and improvement of left ventricular diastolic function13.
Djonlagic14 et al recently demonstrated the improvement given by a single night of CPAP on the subjective feeling of being rested and, based on psychomotor vigilance tests, on the increment of attention and vigilance. Instead, no effect was seen on offline sleep-dependent motor memory consolidation, probably due to the shortness of the study and the need of more time to generate an evident effect on the cerebral structures involved. In 2015, Dalmases15 et al conducted a three-months study on elderly patients with severe OSA who presented with cognitive difficulties. They found a benefit on a neuropsychologic evaluation from CPAP treatment. Moreover, functional and structural MRI revealed that CPAP treatment increases the connectivity of the default mode network (DMN) and attenuates cortical thinning compared to a control group.
OSA may also be the cause of a specific secondary headache, called sleep apnea headache. According to the last IHS criteria (ICHD-III)6, it is a morning headache, usually bilateral and with a duration of less than 4 hours, caused by sleep apnea. The disorder resolves with successful treatment of the sleep apnea.
The most relevant risk factors for the development of OSA are obesity16 and male sex. Other predisposing conditions are tissue and craniofacial abnormalities (e.g. short mandibular size, wide craniofacial base, adenoid hypertrophy, anatomically narrow pharynx)17 and cervical spine pathologies.
Depending on the etiology of the condition, treatments are widely available. Weight loss is the first step in overweight and obese patients and, if necessary, bariatric surgery can be performed to help to lose weight18. CPAP is frequently used to keep the airways patent by providing a continuous positive air pressure (CPAP) to the collapsed upper airway. If CPAP failed to correct the apneas, local surgery can be a therapeutic option (e.g. tonsillectomy, laser palatoplasty, uvulopalatopharyngoplasty)2.
With its close proximity to the upper airway, the cervical spine and its associated pathologies can produce sleep apnea symptoms in selected populations. Single lesion pathologies of the cervical spine involved in the pathogenesis of the apneas are osteophytes19 and osteochondromas. Multifocal lesions include rheumatoid arthritis of the cervical segment and endogenous cervical fusions20.
Cervical osteophytes could develop from several causes, such as osteoarthritis, cervical spondylosis, ankylosing spondylitis21, diffuse idiopathic skeletal hyperostosis (DISH)22, neck spinal surgery, traumas and repeated occupational musculoskeletal stress23, 24.
Other factors like diabetes mellitus and obesity may promote the calcification of the nuchal ligament and the development of cervical osteophytes25, that can also reach large size. The calcification of the nuchal ligament is also been associated with polymorphisms of COL6A126 and BMP2 genes in East Asian patients27, 28. In many studies, COL6A1 was already related to the pathogenesis of collagen VI myopathies29, including Ullrich congenital muscular dystrophy, Bethlem myopathy, and Hirschsprung's disease30, indicating an important role of this gene in the stability of the connective tissue.
Osteophytes may cause compression of adjacent structures as the pharynx, larynx and vessels, causing dysphagia31, airways obstruction to dyspnea32, dysphonia32, bloodstream alterations and, in very rare cases, also aortic perforation33. The presence of large osteophytes can cause obstructive dysphagia by displacing the hypopharynx anteriorly, impeding the transit of a food bolus. It also reduces the distance to the tongue, making easier to occlude the pharynx and worsening the airflow, especially in subjects affected by OSAS34. The direct reduction in diameter of the airways by osteophytes can worsen the already existing symptomatology21, making necessary to take therapeutic measures.
The presence of cervical osteophytes is very frequent especially in elder people, but they don't usually need treatment because they are mostly small in dimensions and rarely symptomatic22.
As previously seen, treatment modalities for patients suffering from OSAS include constant positive airway pressure (CPAP), medical treatment, and surgery35, based on preferences and needs of the patients. In presence of an anatomic obstacle, surgery is indicated to resolve the symptomatology. Surgical management is aimed at obstructions in the nasal, retropalatal, and retroglossal/hypopharyngeal regions, and many patients have multiple levels of obstruction. Patients who underwent treatment usually demonstrate an evident symptomatic or clinical improvement, based on their Apnea-Hypopnea Index (AHI) values20.
Case Report
Obstructive sleep apnea (OSA) syndrome is a common disease characterized by partial or complete collapse of the upper airway during sleep secondary to functional or anatomical factors. We present a case of obstructive sleep apnea syndrome in a patient with severe cervical osteophyte formations.
A 76-year-old man presented at the Emergency Department of the Luigi Sacco Hospital in Milan with acute dysphonia and dysarthria mimicking a stroke.
In anamnesis, the patient reported to live alone, independent in daily life tasks, but in the same building of his daughter. He had a varied diet, regular digestion and no dysphagia was described. He used to drink a couple of glasses of wine during meals and occasionally liqueurs. He stopped smoking two years ago (20 cigarettes per day). No allergies were known. About 10 years before, the patient experienced a clinical episode interpreted as a alleged transitory cerebral ischemia and aspirin was prescribed. Since that period, a diagnosis of severe cervical osteophytes with compression of the phonatory area was made. The patient also had chronic obstructive pulmonary disease, hypertension, mild arrhythmogenic mitral prolaps and a OSA syndrome was suspected, although without overweight.
The patient was in therapy with: terazosin for benign prostatic hyperplasia, escitalopram, aspirin, amiodarone, lorsartan, inhaling beclometasone and bronchodilators (fenoterol and ipratropium bromide).
In the Emergency Department, a CT scan of the head, a chest X-ray and an EKG were performed. The CT scan and the chest X-ray showed no acute event. At the EKG a first-degree atrioventricular block was recorded. No abnormalities were found at blood samples analyses and the arterial blood gas test showed moderate hypoxemia and hypercapnia (pO2 =53 mmHg, pCO2 =58 mmHg).
The patient reported an evident and rapid improvement of the symptoms after the O2 administration.
Neurological and general examinations were performed, which revealed a frank left deviation of the tongue and severe neck rigidity. A reduction in strength of the left limbs was noted in Mingazzini and Barrè position. On the hypothesis of a cerebral right hemispheric suffering, he was admitted to the Neurology Unit, despite the described complete normalization of neurological examination after oxygen treatment.
During hospitalization, a sleep polysomnography was performed: a severe sleep apnea syndrome and severe nocturnal hypoxemia were found.
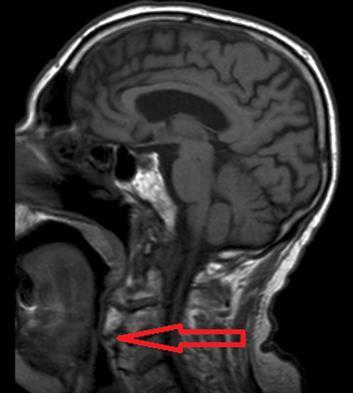
Brain and cervical MRI were performed to exclude recent brain ischemic lesions and to investigate the spinal chord involvement in relation to the known severe osteophytosis. The brain MRI showed only signs of chronic vasculopathy and no images related to acute events. The neck MRI revealed no medullary compression or signal alterations; osteophytes originating from C1 to C7 were described and had a compressive and displacing effect on the upper aero-digestive ways and laryngeal post-cricoid area. Osteophytes were forming bony bridges in the anterior prevertebral space from C3 to C7.
Figure 1.Osteophytes-induced upper airways obstruction
According to the pulmonary consultation and the treatment options, cervical neurosurgery was planned 1 week later and CPAP was not started because the consultant hypothesized a possible negative traumatic effect of positive pressure airflow on a so rigid obstacle through an edema-mediated mechanism. No symptomatic episodes happened during the hospitalization and the patient was discharged. At home, the patient suddenly died before surgery, during the night.
Discussion
Although rarely, cervical osteophytes may cause mechanic respiratory obstruction. Obstructive sleep apnea (OSA) is, as previously said, a common disorder characterized by repetitive collapse of the pharyngeal airway during sleep. Control of pharyngeal patency is a complex process relating primarily to basic anatomy and the activity of many pharyngeal dilator muscles. The control of these muscles is regulated by a number of processes including respiratory drive, negative pressure reflexes, and state (e.g. sleep) effects.
A series of elements let us hypothesize that in our patient the OSA syndrome may have had a fundamental role, if not a determinant one, in the acute event leading to exitus: 1. the presence of severe osteophyte formations compressing the phonatory area, known to worsen OSA syndrome; 2. the absence of severe comorbidities able to explain a sudden death; 3. the onset of previous clinical episodes during sleep and 4. the resolution of these episodes after oxygen administration.
As described by Gami9 et al in a longitudinal study involving about 11000 patients studied with polysomnography, the annual incidence of sudden cardiac death in OSA patients is 0,27% and the magnitude of risk is predicted by multiple parameters characterizing OSA severity. Nocturnal hypoxemia and AHI index strongly predicted SCD independently of other well-established cardiovascular risk factors.
In addition to this, in 1989, Cirignotta36 et al described a case of cerebral anoxic attacks during REM sleep consequent on a 220-second apnea and proposed a possible pathogenetic mechanism other than heart arrhythmias responsible for sudden death or coma arising during sleep.
Patients with stroke also have a high prevalence of sleep apnea that may have preceded or developed as a result of the stroke. Well-established concurrent risk factors for stroke like hypertension and atrial fibrillation respond favorably to the successful treatment of sleep apnea5.
Conclusions
The case report and the brief overview of the literature about this topic show clearly that patients with a transitory neurological presentation, in absence of evident causal conditions, need always to be more widely investigated, possibly including a sleep breathing assessment. Secondly, when a severe sleep apnea is put in evidence, the cause has to be identified to allow a specific treatment.
As previously seen and according to the current literature, CPAP is the first line of OSA treatment. It is a safe, effective form of therapy with rare complications. Relative contraindications include patients with bullous lung disease and recurrent sinus or ear infections, while there are no absolute contraindications37. There is an unanimous agreement about the use of CPAP for the treatment of OSAS in Europe, independently from the causes generating it38.
The importance of the early diagnosis and treatment of OSA is shown by the reduction in complications occurring in patients undergoing a therapy, whether clinical or surgical3, 5, 9, 13, 15, 16, 36, 39, 40, 41.
Furthermore, even when a clinical condition has been present for a long period, a possible rapid deterioration of the functional balance may be possible: in our patient, cervical osteophytes were known and unchanged for about 10 years, notwithstanding, their effect on sleep breathing had probably worsened in the last period and the brief latency between discharge and surgical treatment might have been fatal.
Finally, a greater attention toward anterior spine formations has to be posed, especially at the cervical level: even if they are generally clinically irrelevant, they may sometimes be seriously dangerous, as unfortunately seen in our patient.
References
- 1.Paiva T, Attarian H. (2014) Obstructive sleep apnea and other sleep-related syndromes, in:. Handbook of Clinical Neurology 251-271.
- 3.Epstein L J, Kristo D, Strollo P J, Friedman N, Malhotra A. (2009) Adult Obstructive Sleep Apnea Task Force of the American Academy of Sleep Medicine. Clinical guideline for the evaluation, management and long-term care of obstructive sleep apnea in adults. , J. Clin. Sleep Med. JCSM Off. Publ. Am. Acad. Sleep Med 5, 263-276.
- 4.D J Eckert, A S Jordan, Merchia P, Malhotra A. (2007) . , Central Sleep Apnea. Chest 131, 595-607.
- 6.Headache Classification Committee of the International Headache Society (IHS),2013.The International Classification of Headache Disorders, 3rd edition (beta version). , Cephalalgia Int. J. Headache 33, 629-808.
- 7.A S Gami, V K Somers. (2007) Sleep apnea and cardiovascular disease, in: Braunwald’s Heart Disease: A Textbook of Cardiovascular Medicine.8th.Saunders,Philadelphia.
- 8.N S Marshall, Wong K K H, P Y Liu, Cullen S R J, M W Knuiman. (2008) Sleep apnea as an independent risk factor for all-cause mortality: the Busselton Health Study. , Sleep 31, 1079-1085.
- 9.A S Gami, E J Olson, W K Shen, R S Wright, K V Ballman. (2013) Obstructive Sleep Apnea and the Risk of Sudden Cardiac Death. , J. Am. Coll. Cardiol 62, 610-616.
- 10.Young T, Finn L, Peppard P E, Szklo-Coxe M, Austin D. (2008) Sleep disordered breathing and mortality: eighteen-year follow-up of the Wisconsin sleep cohort. , Sleep 31, 1071-1078.
- 11.Gami A S, Howard D E, Olson E J, Somers V K. (2005) Day-night pattern of sudden death in obstructive sleep apnea. , N. Engl. J. Med 352, 1206-1214.
- 12.Rigatelli G, Sharma S. (2012) Patent foramen ovale-obstructive sleep apnea relationships: pro and cons. , Cardiovasc. Revascularization Med. Mol. Interv 13, 286-288.
- 13.S F Rimoldi, Ott S, Rexhaj E, Marchi S F de, Allemann Y. (2015) . Patent Foramen Ovale Closure in Obstructive Sleep Apnea Improves Blood Pressure and Cardiovascular Function. Hypertension 66 1050-1057.
- 14.Djonlagic I, Guo M, Matteis P, Carusona A, Stickgold R. (2015) First night of CPAP: impact on memory consolidation attention and subjective experience. , Sleep Med 16, 697-702.
- 15.Dalmases M, Solé-Padullés C, Torres M, Embid C, Nuñez. (2015) . Effect of CPAP on Cognition, Brain Function, and Structure Among Elderly Patients With OSA: A Randomized Pilot Study. Chest 148 1214-1223.
- 16.Reed K, M F Pengo, Steier J. (2016) Screening for sleep-disordered breathing in a bariatric population. , J. Thorac. Dis 8, 268-275.
- 17.Lee R W W, Vasudavan S, D S Hui, Prvan T, Petocz P. (2010) Differences in craniofacial structures and obesity in Caucasian and Chinese patients with obstructive sleep apnea. , Sleep 33, 1075-1080.
- 18.Xiel H, Doherty L, O’Boyle C. (2016) The Positive Impact of Bariatric Surgery on Sleep. , Ir. Med. J 109, 328-330.
- 19.Ando E, Ogawa T, Shigeta Y, Hirai S, Ikawa T. (2009) A case of obstructive sleep apnoea with anterior cervical osteophytes. , J. Oral Rehabil 36, 776-780.
- 20.Khan A, K D Than, K S Chen, A C Wang, Marca La et al. (2014) Sleep apnea and cervical spine pathology. , Eur. Spine J 23, 641-647.
- 21.Y K Varsak, M A Eryilmaz, Arbağ H. (2014) Dysphagia and Airway Obstruction Due to Large Cervical Osteophyte in a Patient With Ankylosing Spondylitis:. , J. Craniofac. Surg 25, 1402-1403.
- 22.Egerter A, Kim E, Lee D, Liu J, Cadena G. (2015) Dysphagia Secondary to Anterior Osteophytes of the Cervical Spine. , Glob. Spine J 05, 78-83.
- 23.Makaram N, Gohil R, Majumdar S. (2015) Dysphagia due to oesophageal obstruction: A case report of unusual occupational aetiology. , Ann. Med. Surg 4, 438-443.
- 24.Hagberg M. (1984) Occupational musculoskeletal stress and disorders of the neck and shoulder: a review of possible pathophysiology. , Int. Arch. Occup. Environ. Health 53, 269-278.
- 25.Shingyouchi Y, Nagahama A, Niida M. (1996) Ligamentous ossification of the cervical spine in the late middle-aged Japanese men. Its relation to body mass index and glucose metabolism. , Spine 21, 2474-2478.
- 26.J R Wilson, A, E D Brodt, J R Dettori, D S Brodke. (2013) Genetics and heritability of cervical spondylotic myelopathy and ossification of the posterior longitudinal ligament: results of a systematic review. , Spine 38, 123-146.
- 27.Tsukahara S, Miyazawa N, Akagawa H, Forejtova S, Pavelka K. (2005) COL6A1, the Candidate Gene for Ossification of the Posterior Longitudinal Ligament, Is Associated With Diffuse Idiopathic Skeletal Hyperostosis in Japanese:. , Spine 30, 2321-2324.
- 28.Kim K H, Kuh S U, Park J Y, Lee S J, Park H S. (2014) Association between BMP-2 and COL6A1 gene polymorphisms with susceptibility to ossification of the posterior longitudinal ligament of the cervical spine in Korean patients and family members. , Genet. Mol. Res. GMR 13, 2240-2247.
- 29.R J Butterfield, A R Foley, Dastgir J, Asman S, D M. (2013) Position of glycine substitutions in the triple helix of COL6A1, COL6A2, and COL6A3 is correlated with severity and mode of inheritance in collagen VI myopathies. , Hum. Mutat 34, 1558-1567.
- 30.Soret R, Mennetrey M, K F Bergeron, Dariel A, Neunlist M.Ente-Hirsch Study Group,2015.A collagen VI-dependent pathogenic mechanism for Hirschsprung’s disease. , J. Clin. Invest 125, 4483-4496.
- 31.M R England, M A Schwartz, Flis D, Kelly B, R O Wein. (2014) Dysphagia, hoarseness, and a hypopharyngeal mass. Case Rep. 3, 123-125.
- 32.J W Seo, J W Park, J C, J W Kim, Y G Lee. (2013) Anterior Cervical Osteophytes Causing Dysphagia and Paradoxical Vocal Cord Motion Leading to Dyspnea and Dysphonia. , Ann. Rehabil. Med 37, 717-10.
- 33.R O Afifi, H K Sandhu, C D Fraser, A L Estrera. (2015) Impaled Aorta: A Rare Case of Aortic Perforation With a Vertebral Outgrowth. , Ann. Thorac. Surg 99, 1449-1451.
- 34.Eyigor H, O T Selcuk, Osma U, Koca R, Yilmaz. (2012) Cervical osteophytes: a rare cause of obstructive sleep apnea. , J. Craniofac. Surg 23, 444-446.
- 35.D F Smith, A P Cohen, S L Ishman. (2015) Surgical management of OSA in adults. , Chest 147, 1681-1690.
- 36.Cirignotta F, Zucconi M, Mondini S, Gerardi R, Lugaresi E. (1989) Cerebral anoxic attacks in sleep apnea syndrome. , Sleep 12, 400-404.
- 37.Indications.standards for use of nasal continuous positive airway pressure (CPAP) in sleep apnea syndromes. American Thoracic Society. Official statement adopted. , March1944,1994.Am. J. Respir. Crit. Care Med 150, 1738-1745.
