Dual Energy Computed Tomography and Effect on the Management of Uric Acid Renal Calculi
Abstract
Attenuation differences from 2 x-ray sources allow differentiation and characterization of stone types with similar radiation dose compared to single-energy CT scan. The difference is shown in colours, allowing preoperative prediction and management of stones.
We determined the effect of DECT-KUB on urological management of patients with uric acid stones since it was first introduced in our centre.
50 patients with uric acid stones were selected from 2 year groups, each with 25 patients and their urological managements were reviewed retrospectively.
We concluded that DECT-KUB is an accurate way of determining the chemical characteristics of renal calculi and can alter patients’ management. It has gained wide acceptance among clinicians in our centre and is now widely used to plan urological management of patients with renal calculi. Based on urological management comparison of patients who presented in the year 2011 with uric acid stones and patients in the year 2020, we concluded that patients with uric acid stones based on DECT-KUB findings can start dissolution therapy instead of surgical extraction or lithotripsy prior to biochemical analysis results become available. Although utility of DECT-KUB is widely accepted among clinicians in our centre it may not be available worldwide and this is the limiting factor in its universal use.
Author Contributions
Academic Editor: Anubha Bajaj, India
Checked for plagiarism: Yes
Review by: Single-blind
Copyright © 2023 Jahangiri AJ, et al.
This is an open-access article distributed under the terms of the Creative Commons Attribution License, which permits unrestricted use, distribution, and reproduction in any medium, provided the original author and source are credited.
Competing interests
The authors have declared that no competing interests exist.
Citation:
Introduction
In Dual energy CT scanning, Attenuation differences from two x-ray sources allow differentiation and characterization of stone types 1.
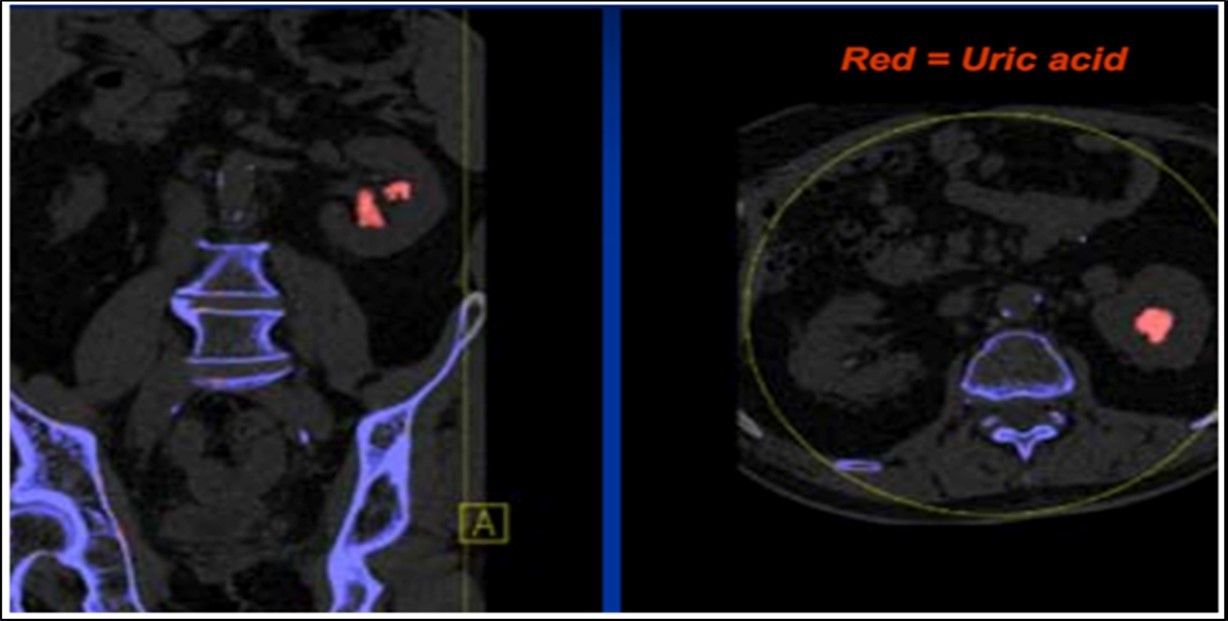
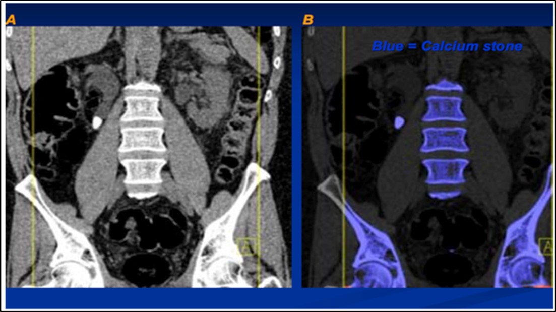
The attenuation difference is shown in colors. In graph 1, the 1.15 ratio represents threshold between uric acid and other stones. If a data point corresponding to a stone with unknown composition falls below this line, the algorithm will characterize such stone as a UA stone and will assign it a predefined red color. And if it falls above the line it will be identified as a non-UA stone and will be shown blue 2.
It has been reported in the previous studies that, although two x-ray sources are used, the radiation dose is not doubled. In fact with the new low dose techniques the dose is similar to those of single energy CT scanning. It is a useful tool to predict the stone type preoperatively and it can aid in choosing the appropriate therapy 1, 2.
The lifetime risk of developing kidney stones is about 1 in 10 for Australian men and 1 in 35 for women. Renal stones account for about 1 in every 100 hospital admissions.
10% of all first time stone formers will get another episode within 1 year. According to the type, size and location of the stone the management changes significantly. For stones less than 2 cm in the kidney ESWL is usually used with X-ray or USS guidance in theatre.
Stones in the ureters with no chance of spontaneous passage (that being often larger than 5mm) are treated with Ureteroscopy and basket extraction of the stones with or without laser lithotripsy. PCNL is an invasive of all, which is reserved for stones bigger than 2 cm.
Medical dissolution therapy is a useful non-invasive method of treating uric acid stone Sodium bicarbonate is used to keep the urine PH above 7 to dissolve the uric acid stones in a less acidic urine and Allopurinol is used to decrease the Urate level. And of course hydration and diet play important role 3, 4.
Sometimes Ureteroscopy and laser lithotripsy is used for fragmentation of the stones to increase the surface area of the stone prior to dissolution therapy (specially for stones> 2cm) 5, 6.
Stone analysis, together with serum and 24-hour urine metabolic evaluation, can identify the etiology in more than 95% of patients 1. Preoperative prediction of stone type (figure 1 and figure 2) is crucial for therapeutic decision making and follow-up 2, 3, 4, 5, 6. Some studies have reported predictive role of dual energy CT scan for determination of stone type 7, 8, 9.
In this study we determined the effect of DECT-KUB on urological management of patients with uric acid stones since DECT-KUB was first introduced in our center in 2011.
Materials and Methods
Our center has been using DECT-KUB for diagnosis of renal stones since January 2011.
All CTKUB studies performed at the Princess Alexandra Hospital since January 2011 were identified retrospectively from Agfa PACS database. Scans were performed using standard DECT CTKUB protocol on Siemens Definition Flash CT and reconstructed with Siemens Renal Calculus analysis software.
271 patients who underwent DECT-KUB in the year 2011 for suspected or known urinary stone and 256 patients from the year 2020 were reviewed irrespective of their age and gender and stone size and location.50 patients who were diagnosed with uric acid renal calculus based on DE software results were selected from the 2 groups.
Medical charts were reviewed retrospectively, irrespective of the patients’ age, gender and location of the stones.
Patients with uric acid stones who passed the stones spontaneously without any interventions were excluded from this study. All 50 selected patients also had biochemical analysis confirming the diagnosis after either straining urine by the patients and collecting the stones or surgical extraction of the stones for analysis. They were assigned to two groups and each group with 25 patients. Group one were the patients from when the DECT first started its application for renal calculus diagnosis in our center from January 2011 till January 2012 and the second group was from January 2020 till January 2021, after 10 years of diagnosing renal stones and their types in our center with DECT.
The number of patients in each group who underwent dissolution therapy straight after the diagnosis with DECT and the ones who underwent invasive surgical extraction or lithotripsy was compared in two groups.
Results and Discussion
From group one, 15 patients (60%) with uric acid stones underwent dissolution therapy after diagnosis with DECT-KUB, 10 patients (40%) underwent invasive surgical procedures after stent insertion and only started on dissolution therapy after the biochemical analysis results confirmed the diagnosis of uric acid stone.
In the second group, 23 patients (92%) started on dissolution therapy straight after the diagnosis with DECT-KUB, 2 patients (8%) stented secondary to obstructive vesico-ureteric stones. Findings were statistically significant (P-value <0.01, Z-value 5.3) when compared in the two groups. Table 1, Table 2
Table 1. Patients who passed the stone without any intervention and stones >2cm were excluded.| Group A(Jan2011-Jan2012) | Group B(Jan2020-Jan2021) | Overall |
| 271 | 264 | 535 |
| 27 uric acid stones | 26 uric acid stones | 53(10%) |
| 2 patients excluded | 1 patient excluded | 3 |
| 25 included in the study | 25 included in the study | 50 |
| Dissolution therapy | Surgical intervention | Total | |
| Group A | 15(60%) | 10(40%) | 25 |
| Group B | 23(92%) | 2(8%) | 25 |
| Total | 38(76%) | 12(24%) | 50 |
Conclusion
DECT-KUB stone characterization is an accurate method for the chemical characterization of urinary stones, and can alter patient management 1, 2, 3, 4, 5. Studies of 40 human renal stones of known composition from 2-7 mm, showed that DECT is 100% accurate and 100% sensitive for patients with normal weight 7. Other in vivo studies had the sensitivity and accuracy of 74-100% and 89-100% respectively 11, 12.
Radiation dose in DECT is not doubled. In fact, the images are acquired with lower radiation dose when compared to the early scanners and yet the quality and resolution of the images produced with low dose DECT techniques are high (2).
Since the introduction of DECT-KUB in our center in January 2011, it gained wide acceptance among clinicians and management plans were formed based on DECT-KUB findings. Our data confirms that DECT is an accurate and reliable method for chemical characterization of urinary stones, being 100% specific for UA stones and can alter patient management. It was 89-100% accurate and 74-100% sensitive for chemical characterization in previous studies 7, 8, 9, 10.
92% of our patients in the second group with uric acid stones started on dissolution therapy before the biochemical analysis became available and this was compared to 60% in the first group when DECT was first introduced in our system for diagnosis and investigation of stone types. Our study showed that DECT-KUB in the period of 10 years helped managing the patients with uric acid stones with dissolution therapy instead of surgical extraction or lithotripsy reducing the number of invasive procedures by 32 % on urate stones in this study, before even the biochemical analysis became available.
One drawback is that it does the chemical analysis based on the material on the surface of the stones. Which may not always be what the stone is fully made of in case of mixed stones 13. Other limiting factor in using DECT is the availability of CT scanners with dual energy scanning capabilities. Which can limit the universal use of DECT for diagnosis of renal stones 14.
Abbreviations
DECT-KUB) dual energy computed tomography-kidney ureter bladder
(ESWL) endoscopic shock wave lithotripsy
(PCNL) percutanoues nephrolithotomy.
References
- 1. (2011) . Dual energy CT in Clinical Practice’ Kidney Stones ’(chapter) in T.R.C. Johnson (eds.) , Berlin, Heidelberg .
- 2. (2008) Dual source computed tomography: a novel technique to determine stone composition”. , Nov [Journal Article] 72(5), 1164-8.
- 3.Moore C L, Bomann S, Daniels B.Derivation and validation of a clinical prediction rule for uncomplicated ureteral stone--the STONE score: retrospective and prospective observational cohort studies. BMJ.2014;. 348-2191.
- 4.Pearle M S, Calhoun E A, Curhan G C. (2005) Urologic diseases in America project: urolithiasis. J Urol. 173(3), 848-57.
- 5.Evan A P, Coe F L, Lingeman J E. (2007) Mechanism of formation of human calcium oxalate renal stones on Randall's plaque. Anat Rec (Hoboken). 290(10), 1315-23.
- 6.Chandhoke P S. (2007) Evaluation of the recurrent stone former. Urol Clin North Am. 34(3), 315-22.
- 7.Fung G S, Kawamoto S, Matlaga B R. (2012) Differentiation of kidney stones using dual-energy CT with and without a tin filter. , AJR Am 1380-6.
- 8.Primak A N, Fletcher J G, Vrtiska T J. (2007) Noninvasive differentiation of uric acid versus non-uric acid kidney stones using dual-energy CT. Acad Radiol. 14(12), 1441-7.
- 9.Qu M, Ramirez-Giraldo J C, Leng S. (2011) Dual-energy dual-source CT with additional spectral filtration can improve the differentiation of nonuric acid renal stones: an ex vivo phantom study. , AJR Am 1279-87.
- 10.Thomas C, Patschan O, Ketelsen D. (2009) Dual-energy CT for the characterization of urinary calculi: In vitro and in vivo evaluation of a low-dose scanning protocol. Eur Radiol. 19(6), 1553-9.
- 11.Stolzmann P, Kozomara M, Chuck N. (2009) In vivo identification of uric acid stones with dual-energy CT: diagnostic performance evaluation in patients. Abdom Imaging.
- 12.Vrtiska T J, Krambeck A E, McCollough C H. (2010) Imaging Evaluation and Treatment of Nephrolithiasis: An Update. Minnesota medicine. 93(8), 48-51.



