Perception of Health Care Professionals on Transplantation in the Treatment of COVID-19 Patients
Abstract
Corona virus disease 2019 (COVID-19) caused by severe acute respiratory syndrome corona virus 2 (SARS-CoV-2) has rapidly evolved as a pandemic with a challenge to the entire world for its management. Various modalities of treatment have been tried till date and when all the modalities failed then the only option that has been shown to be successful in some cases is lung transplantation. Decision for Solid-organ transplantation is not only made based upon its therapeutic requirement but also need to be supported by the law of land. In this regard, current Nepalese law is not with the provision for lung transplantation. Thus, in order to make the concerned authorities aware of it and also as a step toward the preparedness for COVID-19 pandemic, this research has been conducted with an aim to see the perception of health care professionals of tertiary care centre of eastern Nepal regarding the legal aspects of lung transplantation.
Conclusion
Outcome of this research has supported the therapeutic aspect of transplantation over its legal issue in the emergency conditions like COVID-19 Pandemic.
Author Contributions
Academic Editor: Qianqian song, Wake Forest School of Medicine, Wake Forest Baptist Comprehensive Cancer Center, Medical Center Boulevard, Winston-Salem, NC 27157, United States.
Checked for plagiarism: Yes
Review by: Single-blind
Copyright © 2020 Bikash Sah, et al.
This is an open-access article distributed under the terms of the Creative Commons Attribution License, which permits unrestricted use, distribution, and reproduction in any medium, provided the original author and source are credited.
Competing interests
The authors have declared that no competing interests exist.
Citation:
Introduction
Corona virus disease 2019 (COVID-19) emerged from China in December 2019 caused by severe acute respiratory syndrome corona virus 2 (SARS-CoV-2) has been spread globally and has now become a pandemic1. The mortality rate of patients with COVID-19 can be as high as 4.2%2. Despite improved medical treatment, some patients with end-stage COVID-19 pneumonia advanced to irreversible loss of lung function, those critical patients need to be admitted to the intensive care unit (ICU)3, 4, 5. Lung transplantation is an effective treatment for end-stage pulmonary chronic diseases6,7. However, it was rarely used for the management of acute infectious pneumonia-like COVID-19. Unlike chronic lung diseases, COVID-19 is an emerging communicable disease, and the complete profile of the disease is ambiguous8. It is difficult to ascertain whether lung injury in COVID-19 patients is irreversible8. At present, there are very fierce reports of lung transplantation in patients with COVID-19. Six COVID-19 patients have received lung transplants in China as a last resort to save virus patients in critical situation9.
The Department of Surgery of MedUni Vienna/Vienna General Hospital carried out a crucial and highly cumbersome lung transplant to save a 45-year-old woman from Austria, her condition had advanced to complete respiratory failure as a result of Covid-19, so that she could only be sustained by means of a circulation pump (ECMO – extracorporeal membrane oxygenation). This was a Europe's first lung transplant on a COVID-19 patient10. Successful double lung transplantation was done as a last resort has saved the life of an 18-years-male whose lungs were damaged by COVID-19 at Policlinico Hospital in Milan, northern Italy11.
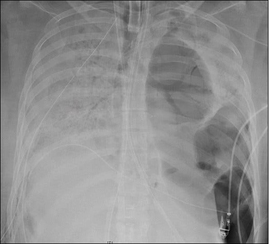
A 20-years-female received a double lung transplant following end-stage lung disease (Figure 1 & Figure 2) by COVID-19 at Northwestern Medicine in Chicago12. She was the first COVID-19 lung transplant case for the United States of America12. COVID-19 pandemic which started from China outspread to Europe and the United States of America, reached to South Asian countries at last. Thus this provides us with an opportunity to act accordingly those already affected countries have acted to control this pandemic before it is out of control. In Nepal there are many cardiothoracic and vascular surgeons capable enough for lung transplantation, however its legal system lag behind the clinical system. The first law enacted to regulate human organ transplantation in Nepal with title "The Human Body Organ Transplantation (Regulation and Prohibition) Act, 2055 (1998) provides provision for only Kidney transplantation as solid organ transplantation13. Recent modification in the existing law in the form of Human Body Organ Transplantation (Regulation and Prohibition) Act 207214 and Human Body Organ Transplantation (Regulation and Prohibition) legislation 207315 has provided provision for Liver transplantation too but not for other solid organ transplantation like lung. Keeping in view of urgent need of lung transplantation to save the life of end-stage COVID-19 cases as shown in the cases done in China, Europe and the United States of America, this research has been done as a small step towards the preparedness for ongoing COVID-19 pandemic with an aim to see the perception of health care professionals of tertiary care centre of eastern Nepal regarding the legal aspects of lung transplantation.
Figure 1.An X-ray of the patient’s lungs before surgery. Northwestern Medicine
Figure 2.Damaged lung removed following transplantation. Northwestern Medicine
Material and Methods
It is a descriptive and cross-sectional study in which a pre-established valid and reliable self-administered questionnairewas used among health care professionals of the tertiary care centre of eastern Nepal16. Those who gave consent were included in the study. Purposive samplingof 221, among health care professionals (Faculties, Nursing In-charges, Lab- technicians, Radiology technicians) participated in the study. Collected data was entered in Microsoft Excel and coded accordingly. The statistical analysis was performed by statistical package for social science (SPSS) and frequency was calculated.
Results
Structured Questionnaire: (Malaysia has no laws regulating living donation and in the absence of laws, living donation is presumed to be legally permissible under valid donor’s consent). If liver or heart or other organ transplant surgeon transplanted liver or heart or another organ with intention to save the life, in the absence of their specific law in Nepal, should the surgeon be punished? The responses were 86.87% as "No if done in an emergency condition"; 6.33% as "No"; 4.07% as "Can’t say" and 2.71% as "Yes".
Discussion
Majority (86.87%) of health care professionals support the organ transplantation even in the absence of the specific law in the country for the emergency condition. Organ transplantation in Asia is usually regarded as a policy issue, rather than a clinical issue, but Malaysia is an exception to this consideration. Malaysia has no laws regulating living donation and in the absence of laws, living donation is presumed to be legally permissible under valid donor’s consent17. Nepal has cardiothoracic and vascular surgeons but they cannot practice in the absence of laws for specific organ transplantation. A similar situation can be seen in other Asian countries as well, the Lancet has shown that the regulatory system in China is relatively lagging behind its medical development18. Due to the cumbersome process in amending the legal system of nation, it sometimes can’t keep pace with the sudden change in the urgency in the health care system; especially in the situation like COVID-19 Pandemic. Such situation need to be addressed by collecting consensus from the concerned experts for new or revised policy as stated by World Medical Association 19.
Now the whole world is fighting against COVID-19 Pandemic with different measures in which Lung transplantation is done for the first time on COVID-19 patients as the only available treatment option in the United States of America, Europe and China has shown its importance in the era when its treatment is a challenge to entire humanity. The only research article on COVID-19 lung transplantation found in the scientific literature conducted by Weili Han et. al.8 at School of Medicine, Zhejiang University has shown that despite all the available treatment modalities like a course of antiviral therapy, hormonal therapy, convalescent plasma, immune-enhancing supportive treatments, and methylprednisolone, life supporting extracorporeal membrane oxygenation (ECMO) with mechanical ventilation was initiated, lung function continued to deteriorate in two cases of 66 years and 70 years old individuals. Those cases finally got rescued with the help of lung transplantation done after their “SARS-CoV2 RT-PCR” tests for COVID-19 turned negative8. Thus transplantation offers the terminally ill COVID-19 patients another alternative for survival. Despite the promising successful initial results from the reported cases of lung transplantation, the study reflects some potential concern about the systemic virus that it could damage the donor's lungs after lung transplantation and medical staff would be put at risk to a virus with a high contagious index20.
Conclusion
The article has shown a distinct perception of health care professionals in support of the therapeutic part of transplantation over its legal aspect in the emergency conditions like COVID-19 Pandemic. Thus, it is recommended for its consideration as the preparedness of Nepal towards the COVID-19 Pandemic.
Ethical Clearance
It has been taken from “Institutional Review Committee, B. P. Koirala Institute of Health Sciences, Dharan, Nepal”.
Source of Funding
The authors received no financial support for the research, authorship, and/or publication of this article.
References
- 1.Aigner C, Dittmer U, Kamler M, Collaud S, Taube C. (2020) COVID-19 in a lung transplant recipient. The Journal of Heart and Lung Transplantation. Elsevier BV;. Jun;39(6): 610–1.https://doi.org/10.1016/j.healun.2020.04.004
- 2.Coronavirus disease 2019 (COVID-19) Situation Report.59.https://www.who.int/docs/default-source/coronaviruse/situation-reports/20200319-sitrep.59-covid-19.pdf?sfvrsn=c3dcdef9_2.
- 3.Wu C, Chen X, Cai Y, Xia J, Zhou X et al.. Risk Factors Associated With Acute Respiratory Distress Syndrome and Death in Patients With Coronavirus Disease 2019 Pneumonia in Wuhan, China. JAMA Internal Medicine. American Medical Association (AMA); (2020Mar13).https://doi.org/10.1001/jamainternmed.2020.0994 .
- 4.Wang D, Hu B, Hu C, Zhu F, Liu X et al. (2020) . Clinical Characteristics of 138 Hospitalized Patients With 2019 Novel Coronavirus–Infected Pneumonia in Wuhan, China. JAMA.American Medical Association 323(11), 1061-1069.
- 5.Guan W J, Ni Z Y, Hu Y, Liang W H, Ou C Q et al. (2020) Clinical characteristics of coronavirus disease 2019 in China. New England journal of medicine. 382(18), 1708-20.
- 6.Mehra M R, Canter C E, Hannan M M, Semigran M J, Uber P A et al. (2016) The International Society for Heart Lung Transplantation listing criteria for heart transplantation: A 10-year update. The Journal of Heart and Lung Transplantation. Elsevier BV;. Jan;35(1): 1–23.https://doi.org/10.1016/j.healun.2015.10.023
- 7.Yusen R D, Edwards L B, Kucheryavaya A Y, Benden C, Dipchand A I et al. (2015) The Registry of the International Society for Heart and Lung Transplantation: Thirty-second Official Adult Lung and Heart-Lung Transplantation Report-2015; Focus Theme: Early Graft Failure. The Journal of Heart and Lung Transplantation. Elsevier BV;. 34(10), 1264-77.
- 8.Han W, Zhu M, Chen J, Zhang J, Zhu S et al. (2020) Lung Transplantation for Elderly Patients With End-Stage COVID-19 Pneumonia. Annals of Surgery. Ovid Technologies (Wolters Kluwer Health);. 272(1), 33-34.
- 9. (2020) Six COVID-19 patients undergo free lung transplants in China. Global Times.https://www.globaltimes.cn/content/1191431.shtml. 23(18), 41.
- 10. (2020) Europe's First Lung Transplant on a Corona virus Patient. cathlabdigest.com.https://www.cathlabdigest.com/content/europes-first-lung-transplant-coronavirus-patient
- 11. (2020) Double-lung transplant saves young COVID-19 patient in Italy.xinhuanet.com.http://www.xinhuanet.com/english/2020-05/29/c_139096930.htm.
- 12. (2020) Covid-19 Patient Gets Double Lung Transplant, Offering Hope for Others.TheNew York Times.https://www.nytimes.com/2020/06/11/health/coronavirus-lung-transplant.html.
- 13.. http://www.lawcommission.gov.np/en/archives/category/documents/prevailing-law/statutes-acts/the-human-body-organ-transplantation-regulation-and-prohibition-act/
- 14.Human Body.Organ Transplantation (Regulation and Prohibition) Act 2072https://hotc.org.np/news/transplant-act-2072/.
- 15.Human Body.Organ Transplantation (Regulation and Prohibition) legislation 2073https://hotc.org.np/news/transplant-legislation-2073/.
- 16.Sah B, Ayer A, Yadav B N, Jha S, Yadav S K. (2017) Development of a Valid and Reliable Questionnaire to Identify Professional Opinion Regarding Organ Transplantation System. International journal of organ transplantation medicine. 8(3), 146.
- 17.Huang J, Mao Y, Millis J M. (2008) Government policy and organ transplantation in China. The Lancet. Elsevier BV;. 372(9654), 1937-8.
- 18.Jingwei A H, Yu-Hung A L, Ching L. (2010) Living organ transplantation policy transition in Asia: Towards adaptive policy changes.Global Health;3.
