Multidisciplinary Dentistry - Ceramic Laminate Veneers for Orthodontic Finalization - Clinical Case Report
Abstract
Currently, patients seeking dental treatment are increasingly concerned with the esthetics. Accordingly, the professional must be able to indicate treatment approaches that often include more than one specialty. This concept of integrated dentistry allows achieving excellence in results, which may not be reached one single Dentistry specialty. In addition, the multidisciplinary dentistry enables the solution of cases more conservatively, especially cases where aesthetics is a relevant factor. This study aimed to report a clinical case showing esthetic disharmony of the anterior teeth even after the ending of the orthodontic treatment, causing dissatisfaction for both the patient and the dentist. From a functional point of view, the occlusion was adequate. However, the esthetics prevented a satisfactory outcome. To solve this issue, the case was treated through minimally-invasive ceramic laminates, then reaching the expected result.
Author Contributions
Academic Editor: Vinayak Raghunathan, Asst.Professor, Department of Periodontics and Implantology, The Oxford Dental College, Bangalore, India.
Checked for plagiarism: Yes
Review by: Single-blind
Copyright © 2018 Joao Mauricio Ferraz da Silva. et al.
This is an open-access article distributed under the terms of the Creative Commons Attribution License, which permits unrestricted use, distribution, and reproduction in any medium, provided the original author and source are credited.
Conflict of interests:
The authors have declared that no competing interests exist.
Citation:
Introduction
Patients in search of esthetic treatment are increasingly frequent in routine dental care and the interaction of the Dentistry specialties is necessary to achieve more satisfactory results.
Orthodontic movement favors the correct positioning of the teeth and results in tooth structure preservation1. However, in cases of shape and color changes, the interdisciplinarity becomes necessary, involving also the restorative dentistry.
Within the new concepts of dentistry, minimally-invasive restorations2 allow achieving very favorable esthetic results in a conservative concept. This fact assures the safer indication of these procedures.
The minimally-invasive ultra-thin ceramic laminates are a workable solution for patients who seek shape improvements. Changes in color and/or position of the anterior teeth may be limiting factors of this approach, often needing greater dental wearing and thicker crowns for adequate solutions3.The stability of color and marginal adaptation are essential to a successful esthetic rehabilitation4, favorable results in terms of marginal adaptation of ultra thin laminates are described in literature5.
The increasing popularity of ceramic laminates can be attributed to their mechanical properties, greater translucency, and improved aesthetics6. Because of this, even in very fine crowns, the dentist can achieve natural characterizations resulting in extremely favorable esthetics. In terms of resistance, although thin, laminates acquire resistance after cementation, since the preservation of the enamel, possible in minimally invasive preparation, offers a cementation that will strengthen the laminate.
This study aimed to report a clinical case discussing the orthodontics/restorative dentistry interaction, showing from the initial diagnosis to the final clinical procedures involved in the esthetic restoration, in which only the orthodontic mechanics would not be enough for satisfactory finalization.
Case Report
Patient RCB, 20 years, sought dental care with chief complaining about esthetics regarding to the appearance of the anterior teeth, due to diastema and smaller lateral incisors.
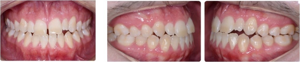
At the extraoral clinical examination, the patient exhibited convex profile, facial asymmetry, and absence of labial sealing [Figure 1 a-c]. The intraoral clinical examination revealed mild crowding, presence of diastema between teeth #11 and #12 and discreet anterior open bite. [Figure 2 a-c].
Figure 1.(a) Extraoral Frontal View (b) Extraoral Lateral View (c) Extraoral Smile View
Figure 2.(a) Intraoral Anterior View (b) Right Intraoral View (c) Left Intraoral View
The orthodontic treatment was proposed to correct the dental and facial changes. The patient was instructed that after the ending of the orthodontic treatment, a new esthetic analysis of the smile would be undertaken to verify the necessity of esthetic restorative treatment.
The orthodontic treatment was carried out in a total of 21 appointments. The orthodontic treatment used self-ligating orthodontic appliance, slot 0.22", Roth prescription. The orthodontic brackets were bonded slightly to cervical to help the treatment of the anterior open bite. Treatment goals aimed at distributing the spaces to result in Class I canine relation with coincident tooth midline. The level of the gingival margin was considered during levelling, so that these also would be levelled at the end of the treatment.
The orthodontic arches used for leveling and alignment was 0.14" and 0.14 x 0.25" heat-activated nickel titanium, 0.18" and 0.20" steel, for both upper and lower arch. From that moment, the patient began the use of right and left 1/8 elastics for 24h per day. Elapsed one month, the overjet was positive. Next, 0.18 x 0.25 arch was inserted and the patient was instructed to reduce the use of elastics gradually for 18h daily (active retention). For the distribution of the maxillary spaces, open springs together with right and left 5/16 Class II elastics were adopted at that stage of the treatment. The orthodontic finalization used 0.17 x 0.25 arch and left 3/16 Class II elastic and with direct vector Class II open bite elastics for two months for 24h per day, changing to 12h per day at the last month (active retention).
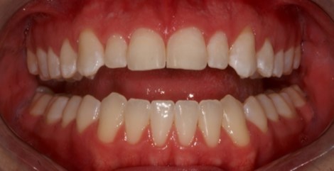
After the ending of the orthodontic treatment, the patient remained dissatisfied with the appearance of the maxillary incisors, no longer in relation to the positioning of the teeth, but in relation to the color and shape [Figure 3]. The smile esthetic was planned in detail with Digital Smile Design (DSD), through photographs and study models. The working cast was waxed up and a silicon template was used to transfer the waxing of the incisors. With the aid of the silicon template, a Mockup with bisacrylic resin (2 Structur-Voco-Cuxhaven, Germany) was obtained for the approval of the planning by the patient [Figure 3b].
Figure 3.(a) Orthodontic treatment ending (b) Mockup
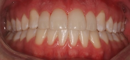
After the approval of the patient, first, we performed an in-office bleaching with 35% hydrogen peroxide (Whiteness HP-FGM-Joinvile SC Brazil), complemented with five applications of 10% Carbamide Peroxide gel (Whiteness-FGM-Joinvile SC Brazil) with the aid of acetate tray. After the whitening procedure, the teeth underwent minimally invasive preparation for ceramic laminate [Figure 4]. with the aid of small round drills (KG Sorensen-Cotia SP Brazil), for delimiting the preparation margins. A round-ended bur (KG Sorensen-Cotia SP Brazil) was used to wear the labial surfaces just to remove the aprismatic enamel, with the aim of promoting the adhesion of the laminates. Then, finishing and polishing was performed with fine grain drills and abrasive discs. The teeth impression was performed with addition silicon (Virtual-Ivoclar Vivadent-Liechtenstein, Schaan) and sent to the lab to produce lithium disilicate ceramic, eMax IPS system (Ivoclar Vivadent, Schaan Liechtenstein).
Figure 4.Minimally-invasive preparation
The laminates were proven and adjusted until the final settlement into the preparation. For cementation, we used light-cured resin cement Variolink Veneer (Ivoclar Vivadent, Schaan Liechtenstein-) colorless shade, selected after humid proof performed with Try-in paste. After cementation, the occlusal contacts and the excursion guides were checked and adjusted [Figure 5].
One week later, at the following-up appointment, the occlusal and excursive contacts were checked and adjusted again. The patient was instructed to return at every six months for general evaluation.
Discussion
The Association of the prosthetic and orthodontic treatment is common in dental practice to obtain better results and harmonization of the smile. According to Pithon & Bernardes, the goals of orthodontic treatment in adults has drawbacks and should not be directed to just obtain the keys of occlusion, but to offer a healthy occlusion, good alignment and leveling, and good esthetic condition7.
In the clinical case presented here, orthodontics had fundamental importance to correct the alignment and especially dental arch levelling, as well as to the ideal intercuspation.
The ceramic laminates have been used over the years, as a great minimally-invasive choice for the anterior teeth, since the preparation of the metallic-ceramic crown involves significant removal of tooth structure (63% to 73%) and may cause pulpal involvement8. Currently we find techniques described in the literature of minimally invasive preparations or even techniques without preparation, with good results in terms of longevity9. Currently we find techniques described in the literature of minimally invasive preparations or even techniques without preparation, with good results in terms of longevity9.
According to the goals proposed for the case, the manufacture of laminates had an excellent result because it achieved a more physiological occlusion, significant improved the shape, size, and color of the anterior teeth, and made significant gain in facial esthetics, respecting the limits, and thus keeping the gingival periodontal health. Long-term retrospective studies (15 and 20 years) pointed out that the success rates of the laminates are around 95%10. This high rate is closely associated with the correct tooth preparation. Most teeth that receive laminates must have some enamel removal, usually 0.5 mm, allowing a minimum thickness of porcelain, marginal adaptation, and suitable contours favoring periodontal health and maintaining all the preparation restricted to enamel, a fundamental factor for a high success rate11. Alavi et al stated that in terms of adhesive resistance the absence of preparation offers better results, however in terms of marginal adaptation this technique should only be used in cases where the patient already presents some enamel wear, loss of structure due to trauma or erosion, or even in cases of patient resistance to wear the tooth12. Several authors support this thinking, as Aboushelib et al., who affirmed that the external marginal adaptation of ceramic laminates, which is defined as the vertical distance between the final line of the prepared tooth and the edges of the laminate13, is considered a primary factor for treatment durability14. Schmidt et al also states that the long-term prognosis of ceramics depends on factors such as the tooth surface, type of cement used, tooth morphology and geometry of the preparation15.
Conclusion
Based on the above discussion, we conclude that the present clinical case had an excellent result by achieving the requirements of a good occlusion and meeting the esthetic expectations of the patient.
References
- 1.Cunha L F.. Laminate Veneers and Multidisciplinary Management. Rev. Fac. Odontol. jan/dez.,2013,Porto Alegre,54(1-3); 31-34.
- 3.Chen J H, Shi C X, Wang M, Zhao S J, Wang H. (2005) Clinical Evaluation of 546 Tetracycline stained teeth treated with porcelain laminate veneers. , Journal of odontology
- 4.Jain V, Das T K, Pruthi G, Shah N, Rajendiran S.Comparative evaluation of effects of bleaching on color stability and marginal adaptation of discolored direct and indirect composite laminate veneers under in vivoconditions. , J Indian Prosthodont Soc2015; 15, 46-52.
- 5.Tugcu E, Vanlioglu B, Özcan Y K, Aslan Y U. (2018) Marginal adaptation and fracture resistance of lithium disilicate laminate veneers on teeth with different depths. Int J Periodontics Rest Dent. 7.
- 6.Conrad H J, Seong W J, Pesun I J.Current Ceramic Materials and Systems with Recommendations: A Systematic Review. , J Prosthet Dent2007; 98, 389-404.
- 7.Pithon M M, LAA Bernardes.(Nov2004) Tratamento ortodôntico em paciente adulto- relato de caso clinicoR Clín Ortodon Dental Press,Maringá,3(5)00-00- out.
- 8.Alghazzawi T F, Lemons J, Liu P R, Essig M E, Janowski G M.The failure load of CAD/CAM generated zirconia and glass-ceramic laminate veneers with different preparation designs. , J Prosthet Dent2012; 108, 386-393.
- 9.D`Arcangelo C, Vadini M, D`Amario M, Chiavaroli Z, F De Angelis. (2017) Protocol for new concept of no prep ultrathin ceramic veneers. J Esthet Restor Dent. 1-7.
- 10.Galip Gu¨ rel. (2007) Porcelain laminate veneers: minimal tooth preparation by design. , Dent Clin N Am 51, 419-431.
- 11.Peumans B. (2000) Porcelain veneers: a review of the literature. , Journal of Dentistry 28, 163-177.
- 12.Alavi A A, Behroozi Z, Eghbal F N.The shear bond strength of porcelain laminate to prepared and unprepared anterior teeth. , J Dent Shiraz Univ Med Sci.2017;March 18(1), 50-55.
- 13.Aboushelib M N, Elmahy W A, Ghazy M H. (2012) Internal adaptation, marginal accuracy and microleakage of a pressable versus a machinable ceramic laminate veneers. , Journal of dentistry 40, 670-677.
Cited by (1)
This article has been cited by 1 scholarly work according to:
Citing Articles:
PERIÓDICO TCHÊ QUÍMICA (2019) OpenAlex

