A Rare Cause of Acute Renal Failure: Retroperitoneal Fibrosis
Abstract
Idiopathic retroperitoneal fibrosis also known as Ormonds disease is a rare disorder characterized by the development of fibrotic tissue in the retroperitoneum. The fibrotic tissue may compress ureters, leading to obstructive nephrouropathy and renal failure. A 58-year-old man with fatigue, loss of appetite and unable to urinate was admitted to our clinic. Because of the serum creatinine value of 5.3 mg/dl, urinary ultrasonography was performed and bilateral grade 3 hydronephrosis with moderate level urine in bladder was detected. Hydronephrosis did not regress by transurethral foley catheter and suspicious appearance in the retroperitoneal area was found in abdominal magnetic resonance imaging. Tru-cut biopsy result of the current lesion was finally reported as a connective tissue. Bilateral double j catheter insertion was performed and started to immunosuppression therapy with corticosteroid. Two months later, double j catheters were removed and hydronephrosis was not detected in follow-up. In this case report, we tried to explain that, retroperitoneal fibrosis should be considered in the differential diagnosis of postrenal acute renal failure, even in patients without a classic symptom such as pain. In addition, early surgical intervention should be avoided in such patients.
Author Contributions
Academic Editor: Mona Hassan, Suez Canal University, Egypt.
Checked for plagiarism: Yes
Review by: Single-blind
Copyright © 2019 Yılmaz Omer, et al.
This is an open-access article distributed under the terms of the Creative Commons Attribution License, which permits unrestricted use, distribution, and reproduction in any medium, provided the original author and source are credited.
Competing interests
The authors have declared that no competing interests exist.
Citation:
Introductıon
The clinical and pathological features of retroperitoneal fibrosis were first described by Ormond and also known as Ormond’s disease.1 A few diseases cause chronic periaortitis and %70 of them is idiopathic retroperitoneal fibrosis.2The incidence is 0.1-3/100000 per year.3,4Although cases have been reported in children and adult males, it is often seen in men aged 50-60.
It is known that all organs in the abdomen may be affected by partially or completely covering the retroperitoneal tissue with fibrosis tissue and / or inflammation, but ureters are the most commonly affected organ and are affected in 80-100% of cases. However, pancreas, biliary tract, retroperitoneal parts of the intestinal system, peripheral nerves, arterial and venous structures which are leading to lower extremities and pelvic organs are among the possible affected structures.5
Surgical decompression in necessary cases and glucocorticoid and / or immunosuppressive agents are the basis of treatment although there is no clear consensus in treatment because of lack of prospective randomized studies with high number of cases.6
Retroperitoneal fibrosis is usually diagnosed in urology practice with medialization of ureters with hydronephrosis and easy ureter catheterization despite obstruction.
İn addition, this disease can often be diagnosed as a result of investigations for chronic complaints such as low back pain or abdominal pain, lower extremity edema.7,8 Idiopathic retroperitoneal fibrosis was diagnosed in a patient who admitted to the emergency department of our hospital with severe weakness, loss of appetite and decreased urine volüme. The patient was diagnosed with acute renal failure and required intensive care follow-up. We wanted to share this patient as a case report.
Case
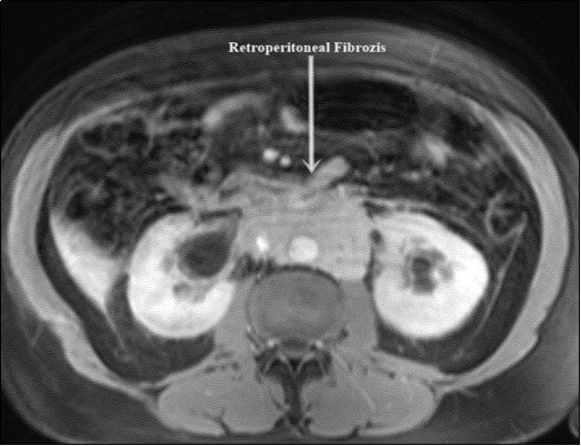
A 58-year-old male patient was admitted to our clinic with complaints of severe weakness, loss of appetite and decreased urine volume. The patient had chronic, mild lower urinary tract symptoms. Serum creatinine level of the patient was 5.3 mg/dl and he had no additional diseases except hypertension. Bilateral grade 3 hydronephrosis and moderate residual urine was revealed in urinary ultrasonography. A transurethral foley catheter was inserted and the patient was admitted to the internal medicine intensive care unit with the diagnosis of acute renal failure due to infravesical obstruction. During follow-up, abdominal magnetic resonance imaging (MRI) was performed due to oliguria and high serum creatinine level (Figure 1). Magnetic resonance imaging revealed a mass of approximately 88x49 mm in the axial plane at the renal artery outlet level, consistent with retroperitoneal fibrosis, tuberculous lymphadenitis or lymphoma. Grade 3 pelvicaliectasis was seen in bilateral kidneys. The descripted lesion was observed in paraaortic area (except posterior). Tru-cut biopsy was planned with no evidence of malignancy on positron emission tomography. Tru-cut biopsy reported as connective tissue. Bilateral double-J ureteral stent was placed endoscopically to patient who was diagnosed as idiopathic retroperitoneal fibrosis (Figure 2). At the same time, alpha-blocker treatment was started. Creatinine levels decreased to normal after five days and normal volume voiding was observed after removal of foley catheter. The patient was started on glucocorticoid therapy which was foreseen to last for 1 year. After 2 months, PET imaging showed the decreased mass size and metabolic activity. Thereafter bilateral ureteral double-J stents were removed endoscopically. Ultrasonographic imaging showed no hydronephrosis after 7 days of catheter removal and the patient was recommended to continue glucocorticoid therapy and was followed up.
Figure 1.Retroperitoneal fibrosis involving both ureters.
Figure 2.Ureteral diversion with bilateral double-J catheter. Both ureters were pulled medially due to retroperitoneal fibrosis.
Discussion
The etiology of retroperitoneal fibrosis includes infectious causes (tuberculosis, gonorrhea, schistosomiasis), inflammatory reactions, malignancies (lymphoma, multiple myeloma, carcinoid, pancreatic ca, prostate ca, sarcoma) and some drugs (methysergide, beta-blockers, phenacetin). However, these causes are detected in %30 cases and %70 is idiopathic.9,10
Although idiopathic retroperitoneal fibrosis is a disease that is detected often during the examination of chronic symptoms such as back or abdominal pain, lower extremity edema, as in our case, it may present with different clinical signs and symptoms due to bilateral ureteral obstruction and pancreas or biliary tract involvement. Acute renal failure was the reason for emergency department application in our case. Therefore, retroperitoneal fibrosis should be kept in mind in the differential diagnosis of postrenal renal failure, if the expected decrease in creatinine levels is not achieved despite bladder diversion. Hydronephrosis, decrease in urine volume, endoscopic retrograde ureteral catheterization, absence of ureteral stenosis, medialization of the inserted ureteral catheter may help to diagnose retroperitoneal fibrosis without the need for other imaging modalities. Magnetic resonance imaging (MRI) is an effective method for soft tissue pathologies and fluoro deoxyglucose positron emission tomography (FDG-PET) has been used in follow-up period in recent years. MRI and FDG-PET are effective imaging methods for idiopathic retroperitoneal fibrosis.11Although malignancy can be highly excluded by imaging methods and PET-CT, biopsy is often used to confirm the diagnosis.12In our case, the definitive diagnosis was obtained by biopsy after MRI and PET-CT imaging and PET-CT was helpful in the follow-up of the patient.
In the literature, there is no final protocol for treatment and follow-up due to lack of prospective randomized studies and the accumulation of knowledge from case reports with low number patients.13However, in the light of available information, suppression of the current inflammatory and fibrotic process with long-term corticosteroids and/or other immunosuppressive agents is basis of the treatment in addition to palliative surgical interventions for acute conditions in patients with retroperitoneal fibrosis, surgical decompression is also treatment method when there is insufficient response to this treatment.14 The first agent of choice is prednisolone as a glucocorticoid. An initial dose is started as 0,75-1 mg/day and increased to 5-7,5 mg/day. Treatment period is 6-9 months. In our case, bilateral double-J uretheral catheter was inserted as a palliative surgery to eliminate acute postrenal obstruction according to literature and immunosuppression treatment was started with corticosteroid. Symptomatic stabilized patient was recovered from ureteral double-J catheters in second month of treatment and immunosuppressive therapy was continued for 1 year.
Although retroperitoneal fibrosis is a rare disease, it is a pathology that should be kept in mind in the differential diagnosis of obstructive uropathy because ureters are frequently affected. Palliative diversion techniques should be prioritized rather than early invasive surgical procedure.
References
- 1.Ormond J K. (1960) Idiopathic retroperitoneal fibrosis: an established clinical entity. , JAMA. Nov 19, 1561-8.
- 2.Vaglio A, Buzio C. (2005) Chronic periaortitis: a spectrum of diseases. , Curr Opin Rheumatol 17, 34-40.
- 4.Yang Q, Xu X, Zhu C. (2018) Low-Back Pain Due to Idiopathic Retroperitoneal Fibrosis. , J Emerg Med 54(1), 124-6.
- 5.Shiber S, Eliakim-Raz N, Yair M. (2016) Retroperitoneal fibrosis: case series of five patients and review of the literature Rev. , Bras. Reumatol 56(2), 101-4.
- 6.Van Bommel EF, Siemes C, Hak L E, SJ Van der Veer, Hendriksz T R. (2007) Long-term renal and patient outcome in idiopathic retroperitoneal fibrosis treated with prednisone. , Am J Kidney Dis 49, 615-25.
- 7.Corradi D, Maestri R, Palmisano A, Bosio S, Greco P et al. (2007) Idiopathic retroperitoneal fibrosis: clinicopathologic features and differential diagnosis. , Kidney Int 72, 742-53.
- 8.Li K P, Zhu J, Zhang J L, Huang F. (2011) Idiopathic retroperitoneal fibrosis (RPF): clinical features of 61 cases and literature review. Clinical Rheumatology. 30, 601-5.
- 9.Daskalakis K, Karakatsanis A, Stålberg P, Norlén O, Hellman P. (2017) Clinical signs of fibrosis in small intestinal neuroendocrine tumours. , Br J Surg 104(1), 69-75.
- 10.Koep L, Zuidema G D. (1977) The clinical significance of retroperitoneal fibrosis. , Surgery 81, 250-7.
- 12.Fernando A, Pattison J, Horsfield C, D’Cruz D, Cook G et al. (2017) 18F-Fluorodeoxyglucose Positron Emission Tomography in the Diagnosis, Treatment Stratification, and Monitoring of Patients with Retroperitoneal Fibrosis: A Prospective Clinical Study European Urology. 71, 926-33.
